Leukodystrophy on Brain CT and MRI: A Rare but Devastating White Matter Disease

 

Leukodystrophy on Brain CT and MRI: A Rare but Devastating White Matter Disease

Author: Dr. S.B. Lee


Introduction

Leukodystrophies are a group of rare, progressive genetic disorders that affect the white matter of the brain and spinal cord. Characterized by abnormal development or destruction of myelin, the protective sheath surrounding nerve fibers, these diseases result in a spectrum of neurological impairments.

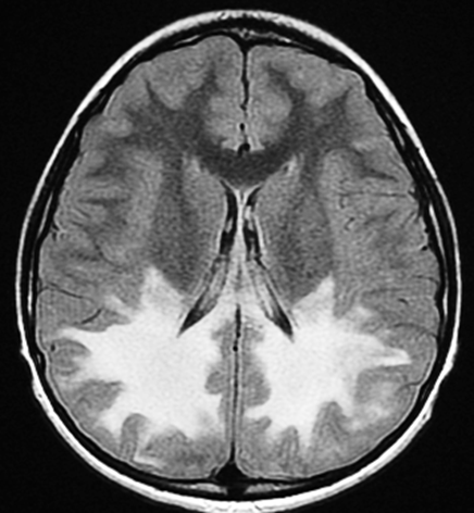
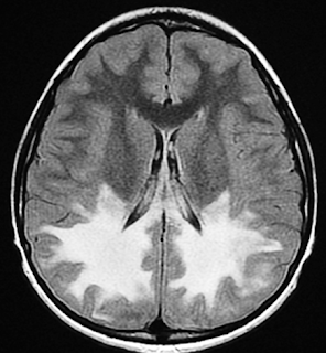
This article focuses on the brain CT and MRI findings of leukodystrophy, illustrated by a 30-year-old male patient. The radiological features are discussed along with pathophysiological mechanisms, epidemiology, clinical manifestations, and the latest therapeutic strategies.


Case Presentation

A 30-year-old man underwent brain CT for evaluation of progressive cognitive decline. Compared to normal axial slices through the midbrain, the patient's images revealed:

·         Global ventricular enlargement and CSF space expansion (marked by red and blue arrows)

·         Diffuse skull thickening, a compensatory finding often associated with chronic brain atrophy

·         Overall pattern consistent with leukodystrophy

These radiologic signs, combined with clinical history, support the diagnosis.


Discussion

Etiology and Pathogenesis

Leukodystrophies are caused by inherited mutations affecting the metabolism or maintenance of myelin. The majority are autosomal recessive, though some may be X-linked or mitochondrial.

Myelin insulates nerve axons, facilitating rapid signal conduction. Its dysfunction leads to widespread neurodegeneration. Subtypes include:

·         Metachromatic Leukodystrophy (MLD) – arylsulfatase A deficiency

·         Adrenoleukodystrophy (ALD) – peroxisomal disorder affecting VLCFA metabolism

·         Canavan disease – aspartoacylase deficiency


Epidemiology

The overall incidence of leukodystrophies is approximately 1 in 7,600 live births, though this varies by subtype and region. Adult-onset leukodystrophy is rare but increasingly recognized due to advanced imaging and genetic testing.


Clinical Presentation

Symptoms depend on the type and age of onset. Typical features include:

·         Developmental delay or regression

·         Muscle rigidity (spasticity) or hypotonia

·         Gait disturbances, tremors, ataxia

·         Seizures

·         Vision and hearing loss

·         Cognitive and behavioral decline

Adult-onset forms may mimic multiple sclerosis or small vessel ischemic disease, as highlighted in a second case involving a 32-year-old man with optic atrophy, spasticity, and progressive dementia.


Imaging Features

CT Findings:

·         Diffuse brain atrophy with ventricular and sulcal widening

·         Skull thickening in chronic disease

MRI Features:

·         T2/FLAIR hyperintensities in the periventricular and deep white matter

·         Involvement of the corpus callosum, internal capsule, and centrum semiovale

·         Possible sparing of U-fibers (in certain subtypes)

·         Symmetrical pattern typical of metabolic disorders


Diagnosis

MRI is the gold standard for detecting leukodystrophies. CT may help assess chronic atrophy or calcifications. Definitive diagnosis requires:

·         Clinical correlation

·         Genetic testing

·         Enzyme assays (e.g., arylsulfatase A for MLD)

·         Nerve conduction studies


Treatment

Current treatments are largely supportive:

·         Physical and occupational therapy

·         Anticonvulsants for seizure management

·         Baclofen for spasticity

·         Feeding and communication aids

Experimental Therapies:

·         Gene therapy (e.g., lentiviral vector for ALD)

·         Hematopoietic stem cell transplantation (HSCT)

·         Enzyme replacement therapy (ERT) (ongoing trials)


Prognosis

Prognosis varies:

·         Infantile forms often lead to death within the first decade

·         Late-onset cases may have slower progression

·         Early diagnosis and therapy initiation may improve outcomes, especially in ALD and MLD with pre-symptomatic HSCT


Quiz

1. Which imaging modality is most useful for diagnosing leukodystrophy?

A. CT

B. MRI

C. PET

D. Ultrasound

Explanation: MRI is more sensitive for detecting white matter changes and characterizing the pattern of demyelination.


2. What is a common clinical feature of adult-onset leukodystrophy?

A. Fever

B. Acute hemiplegia

C. Progressive cognitive decline

D. Sudden vision loss

Explanation: Adult-onset leukodystrophy often presents insidiously with cognitive impairment and behavioral changes.


3. What therapeutic option is being explored for certain leukodystrophies like ALD?

A. Radiation therapy

B. Corticosteroids

C. Gene therapy

D. Surgical decompression

Explanation: Gene therapy using lentiviral vectors has shown promise in treating childhood cerebral ALD.


Conclusion

Leukodystrophy is a complex, devastating condition requiring high clinical suspicion and advanced imaging for accurate diagnosis. Despite limited treatments, ongoing gene and stem cell therapies offer hope. Increased awareness and early detection are key to improving prognosis.


References

1.        van der Knaap MS, Bugiani M. Leukodystrophies: a proposed classification system based on pathological changes and pathogenetic mechanisms. Acta Neuropathol. 2017;134(3):351–382. doi: 10.1007/s00401-017-1719-x

2.        Vanderver A, Prust M, Tonduti D, et al. Case definition and classification of leukodystrophies and leukoencephalopathies. Mol Genet Metab. 2015;114(4):494–500. doi: 10.1016/j.ymgme.2015.01.008

3.        Eichler F, Duncan C, Musolino PL, et al. Gene therapy for adrenoleukodystrophy. N Engl J Med. 2017;377(17):1630–1638. doi: 10.1056/NEJMoa1700554

4.        Pouwels PJ, Vanderver A, Bernard G, et al. Hypomyelinating leukodystrophies: translational research and future therapies. Neurology. 2014;83(5):463–470. doi: 10.1212/WNL.0000000000000643

5.        Waldman A, Tzarouchi LC, Tambasco N, et al. Adult-onset leukodystrophies: a clinical and radiological challenge. J Neurol Neurosurg Psychiatry. 2020;91(4):448–456. doi: 10.1136/jnnp-2019-321075

6.        van Rappard DF, Boelens JJ, Wolf NI. Metachromatic leukodystrophy: disease spectrum and approaches for treatment. Best Pract Res Clin Endocrinol Metab. 2015;29(2):261–273. doi: 10.1016/j.beem.2014.10.002

7.        Saudubray JM, Garcia-Cazorla A. Inborn Errors of Metabolism Overview: Pathophysiology, Manifestations, and Management. Pediatr Clin North Am. 2018;65(2):179–208. doi: 10.1016/j.pcl.2017.11.001


leukodystrophy, adult-onset leukodystrophy, white matter disease, brain MRI, leukodystrophy CT, metachromatic leukodystrophy, adrenoleukodystrophy, myelin disorders, neurometabolic diseases, brain atrophy MRI, gene therapy for leukodystrophy, rare brain disorders, white matter MRI abnormalities, leukodystrophy treatment, leukodystrophy imaging

Comments

Popular posts from this blog

Understanding Tubal Ligation Clips: Imaging, Risks, Migration, and Management

The Lethal Lens: Mastering the Diagnosis and Management of Epidural Hemorrhage (EDH)

Teres Minor Atrophy: Causes, Imaging, and Clinical Implications