18-Year-Old Male with Headache and Ataxia - Intracranial Lipoma

Intracranial Lipoma

1. Cause and Etiology

Intracranial lipomas are benign, rare lesions composed of adipose tissue found in the intracranial cavity. They are a type of congenital malformation, often present from birth. The precise cause of these lesions is still not entirely understood, but they result from abnormal migration and differentiation of mesenchymal cells during fetal development.

  • Developmental origin: Intracranial lipomas are believed to be the result of abnormal development of the neural tube during the early stages of fetal development. Specifically, these lipomas arise from the mesodermal layer and are often associated with other brain malformations, particularly in the midline structures.
  • Genetic factors: There is some evidence suggesting a genetic predisposition, with certain syndromes (e.g., neurofibromatosis type I, Sturge-Weber syndrome, and other malformative syndromes) being associated with an increased likelihood of developing intracranial lipomas.

2. Pathophysiology

The pathophysiology of intracranial lipomas involves abnormal development of mesenchymal cells into fat tissue, which is then deposited in specific regions of the brain. This fat tissue forms benign lesions that do not typically undergo malignant transformation.

  • Location: These lipomas are most commonly located in the midline of the brain, particularly in areas such as the corpus callosum, falx cerebri, and tentorium cerebelli. They can also occasionally be found in the cerebellum, ventricular system, or brainstem.
  • Size and growth: Lipomas tend to grow slowly over time, but they do not usually cause significant brain damage unless they are large or located in areas critical for neurological function. Their growth is generally asymptomatic.

3. Epidemiology

Intracranial lipomas are rare lesions, with an estimated prevalence of 0.1-0.5% of all intracranial tumors. They are typically seen in adults and children with no significant gender predilection.

  • Age: These lesions are congenital and often present early in life, although they may not be diagnosed until later due to their slow progression and lack of symptoms.
  • Associations with other conditions: Intracranial lipomas can occur as isolated findings, but they are also more common in patients with certain neurodevelopmental or congenital disorders, such as:
    • Neurofibromatosis type I
    • Tuberous sclerosis
    • Sturge-Weber syndrome
    • Holoprosencephaly

4. Clinical Presentation

The majority of patients with intracranial lipomas are asymptomatic, especially when the lipomas are small and located in less functionally critical regions. Symptoms generally arise when the lipoma is large or compresses nearby structures.

  • Symptoms (if present) can include:
    • Headaches: Due to mass effect or raised intracranial pressure.
    • Seizures: In cases where the lipoma is located in the midline structures, such as the corpus callosum or parietal lobe.
    • Focal neurological deficits: Depending on the location, patients may experience weakness, sensory changes, or coordination problems.
    • Cognitive disturbances: If the lipoma affects areas associated with memory and cognition.

Since many of these lipomas are small and asymptomatic, they are often discovered incidentally during imaging studies for other conditions.

5. Imaging Features

Intracranial lipomas are diagnosed primarily through imaging studies, especially magnetic resonance imaging (MRI) and computed tomography (CT).

  • MRI:
    • Lipomas are typically hyperintense (bright) on T1-weighted images due to their fat content.
    • They appear hypointense (dark) on T2-weighted images.
    • The fat suppression sequences (e.g., Dixon or STIR) can be useful in confirming the fat content.
    • Lipomas usually do not enhance with contrast, which helps distinguish them from other tumors or lesions.
  • CT
    • Lipomas appear as well-defined, homogeneous, high-density lesions (fat density), typically in the midline structures.
    • They do not show significant enhancement after contrast administration.

In certain cases, a lipoma within the ventricular system might be seen as a well-defined, non-enhancing lesion.

6. Treatment

In most cases, intracranial lipomas are asymptomatic and do not require treatment. However, treatment may be necessary if the lipoma causes significant neurological symptoms or if it is growing.

  • Conservative management:
    • Observation is usually the first step for asymptomatic or minimally symptomatic lipomas. Regular follow-up imaging may be recommended to monitor the lesion’s size and impact on surrounding structures.
  • Surgical intervention:
    • Surgery is typically reserved for cases where the lipoma is large, causing significant mass effect, neurological deficits, or intractable seizures. Surgery involves excision, though it can be challenging because of the location of the lipoma (often in midline structures).
    • Surgical risks include injury to adjacent brain structures and difficulty in complete resection due to the lipoma's location.
  • Seizure management:
    • If the lipoma causes seizures, antiepileptic medications are often used to control the symptoms.

7. Prognosis

The prognosis for intracranial lipomas is generally favorable, especially for small, asymptomatic lesions. Most patients lead normal lives without significant neurological deficits.

  • Asymptomatic lipomas: They typically do not cause further problems and often require only periodic monitoring.
  • Symptomatic lipomas: If symptoms such as seizures, headaches, or neurological deficits occur, they may improve with surgical intervention or medical management of seizures.

Overall, the long-term prognosis is good for most patients, as intracranial lipomas do not undergo malignant transformation. However, the outcome depends largely on the location, size, and whether the lesion causes significant neurological symptoms.

In conclusion, while intracranial lipomas are benign and often asymptomatic, they can present with neurological symptoms in some cases. Diagnosis is typically made through MRI or CT imaging, and treatment is usually only required for symptomatic lesions.

===============================================

Case study: 18-Year-Old Male with Headache and Ataxia 
Lipoma

History and Images

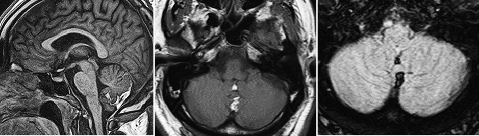
  1. An 18-year-old male presented with a headache and sensory impairment, seeking further evaluation through a detailed examination.

  2. A T1-weighted MRI scan was performed.

Quiz:

  1. Is there any evidence of ischemic or hemorrhagic stroke?
    (1) Yes
    (2) No 

    Explanation: The MRI findings do not show any signs of ischemic or hemorrhagic stroke.
  2. What is the most prominent abnormal area?
    (1) Sella turcica
    (2) Fourth ventricle
    (3) Medulla
    (4) Nasopharynx
    (5) Dorsal cerebellum

    Explanation: A high signal is observed along the dorsal cerebellum on the T1-weighted MRI images.
  3. What is the striking abnormal area?
    (1) Dorsal cerebellar vermis
    (2) Cerebellopontine angle
    (3) Lateral cerebellar hemisphere
    (4) Flocculonodular lobe 

    Explanation: A High signal is seen at the midline and corresponds to the dorsal cerebellar vermis.
  4. What is the prominent abnormality in the cerebellum?
    (1) Cerebrospinal fluid
    (2) Adipose tissue
    (3) Demyelinated axons
    (4) Blood

    Explanation: The high-intensity signal observed in the T1-weighted MRI matches the characteristics of adipose tissue, which is consistent with a lipoma.

Findings and Diagnosis

MRI: On T1-weighted MRI, an irregularly shaped high-signal mass is observed along the dorsal vermis of the cerebellum. No infiltration is seen in the cerebellar hemispheres or vermis.

FLAIR: On axial FLAIR MRI, no signal is observed in the same area as the T1 high-signal, consistent with adipose tissue.

Differential Diagnosis

  • Lipoma

  • Well-differentiated liposarcoma

  • Intracranial dermoid cyst

  • Intracranial teratoma

Diagnosis: Lipoma


Discussion

Intracranial Lipoma

Intracranial lipomas originate from the meninx primitiva, an embryologic structure that gives rise to the dura, arachnoid, and pia mater. If the meninx primitiva fails to regress between the 8th and 10th weeks of gestation, it may lead to abnormal differentiation, resulting in a lipoma. Most intracranial lipomas are asymptomatic and found incidentally. The most common locations include the pericallosal region (accounting for approximately 45% of cases), the quadrigeminal cistern (25%), the suprasellar cistern (15%), and the cerebellopontine angle (10%). In this patient, the lipoma is located in the dorsal cerebellar vermis, which is a rare site.

Lipomas are benign malformations and do not infiltrate or metastasize to other structures. Rarely, they may exert mass effect on local structures, particularly if the patient gains weight and the adipocytes within the lipoma enlarge. In this case, although initially asymptomatic, the lipoma could compress the dorsal vermis as it grows, potentially resulting in impaired motor function affecting the trunk and proximal limbs, such as gait ataxia.

Surgical intervention is generally avoided in asymptomatic intracranial lipomas due to the high risk of damaging traversing vessels or nerves.

One diagnostic challenge is distinguishing a simple lipoma from a well-differentiated liposarcoma. Well-differentiated liposarcomas carry a higher risk of local recurrence and late dedifferentiation. Gaskin and Helms (2004) demonstrated that MRI is highly sensitive in detecting well-differentiated liposarcomas and highly specific for diagnosing simple lipomas. Key imaging features of liposarcoma include thickened or nodular septa, non-fatty components, and prominent areas of contrast enhancement compared to a simple lipoma.


Radiologic Summary

  • CT: Appears as a non-enhancing mass with homogeneous fat density; peripheral calcifications may be present.

  • T1-weighted MRI: Shows high signal intensity.

  • T2-weighted MRI: Also shows high signal intensity.

  • FLAIR MRI: Signal may be suppressed or absent.


Key Points

  • Intracranial lipomas are typically incidental findings and asymptomatic; most commonly found around the corpus callosum, quadrigeminal cistern, suprasellar cistern, and cerebellopontine angle.

  • Best visualized with MRI, appearing hyperintense on both T1 and T2 sequences, but showing little to no signal on FLAIR.

  • Surgery is generally contraindicated due to the high risk of morbidity.


References

  1. Gaskin, C. M., & Helms, C. A. (2004). Lipomas, lipoma variants, and well-differentiated liposarcomas (atypical lipomas): results of MRI evaluations of 126 consecutive fatty masses. AJR American Journal of Roentgenology, 182(3), 733–739.
    https://doi.org/10.2214/ajr.182.3.1820733

  2. Truwit, C. L., & Barkovich, A. J. (1990). Pathogenesis of intracranial lipoma: an MR study in 42 patients. AJR American Journal of Roentgenology, 155(4), 855–864.
    https://doi.org/10.2214/ajr.155.4.2119111

  3. Tepper, S. J., & Caplan, L. R. (2000). Intracranial lipomas: clinical and neuroimaging characteristics. Neurologic Clinics, 18(4), 961–973.
    https://doi.org/10.1016/S0733-8619(05)70210-4

  4. Yilmaz, N., Unal, O., Kiymaz, N., Etlik, O., & Gulekon, N. (2006). Intracranial lipomas–a clinical study. Clinical Neurology and Neurosurgery, 108(4), 363–368.
    https://doi.org/10.1016/j.clineuro.2005.05.012

  5. Talamonti, G., D’Aliberti, G., Cenzato, M., & Collice, M. (2005). Intracranial lipomas: diagnostic and therapeutic considerations. Journal of Neurosurgical Sciences, 49(3), 103–109.
    PMID: 16234821

Comments

Popular posts from this blog

Understanding Tubal Ligation Clips: Imaging, Risks, Migration, and Management

The Lethal Lens: Mastering the Diagnosis and Management of Epidural Hemorrhage (EDH)

Teres Minor Atrophy: Causes, Imaging, and Clinical Implications