Chronic Dysphagia in a 60-Year-Old Man: A Case of Achalasia with Candida Esophagitis

 Chronic Dysphagia in a 60-Year-Old Man: A Case of Achalasia with Candida Esophagitis

Disfagia crónica en un hombre de 60 años: un caso de acalasia con esofagitis candidiásica

60세 남성의 만성 삼킴곤란: 칸디다 식도염을 동반한 무산소증 환자



Introduction

Dysphagia is a common yet diagnostically complex symptom that requires a comprehensive evaluation involving imaging, endoscopy, and motility studies. This post reviews a compelling case of a 60-something-year-old man with chronic dysphagia, ultimately diagnosed with achalasia and co-existing Candida esophagitis. We explore the imaging findings, differential diagnosis, and treatment approach, following expert radiologic and clinical interpretation.


Case Presentation

A man in his 60s presented with chronic difficulty swallowing. He underwent a series of diagnostic evaluations, including chest radiography, contrast-enhanced CT, and barium esophagram.


Radiologic Findings


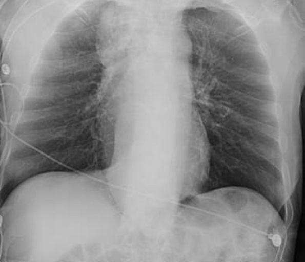
Figure 1. Chest Radiograph
Caption: Frontal chest radiograph demonstrates a widened right upper mediastinum with double density along the right heart border, suggestive of a dilated esophagus.

On chest X-ray, the most prominent abnormality was identified in the mediastinum.


Figure 2. Contrast-Enhanced Chest CT
Caption: Axial chest CT reveals a markedly dilated esophagus filled with high-density secretions. No evidence of esophageal perforation or mass lesion. Tree-in-bud nodularity and ground-glass opacity in the left lower lobe suggest possible aspiration.


Figure 3. Barium Esophagram
Caption: Classic "bird's beak" appearance at the gastroesophageal junction with tapering of the distal esophagus, diagnostic for achalasia. Mucosal irregularities reflect possible Candida esophagitis.



Quiz

1: Where does the most salient abnormality appear in the chest X-ray?
(1) Lungs and pleura
(2) Mediastinum
(3) Bones

 2: Is there evidence of esophageal perforation or aspiration on the CT scan?

2-1.Esophageal perforation:

  • (1) True

  • (2) False

2-2. Aspiration:

  • (1) True

  • (2) False


3: What is the classic appearance seen on the barium esophagram?
(1) Bird's beak sign
(2) Corkscrew esophagus
(3) Frostberg inverted the 3 sign

Answer and Explanation

1. Correct Answer: (2) Mediastinum
Explanation: The X-ray reveals widening of the upper right mediastinum with double contour, indicative of esophageal dilation, which is best visualized in the mediastinal silhouette.

2-1. Esophageal perforation:

Correct Answer: (2) False

Explanation: CT shows a dilated esophagus without extraluminal air or mediastinal fluid, indicating no perforation.

2-2. Aspiration:

Correct Answer: (1) True

Explanation: Tree-in-bud opacities and ground-glass changes in the left lower lobe are classic signs of aspiration pneumonitis.

3. Correct Answer: (1) Bird's beak sign
Explanation: The tapered narrowing at the gastroesophageal junction in a dilated esophagus is pathognomonic for achalasia.


Differential Diagnosis

The radiologic and clinical picture warranted a differential diagnosis of:

  • Achalasia: Idiopathic failure of the lower esophageal sphincter to relax, often with esophageal dilation.

  • Pseudoachalasia: Secondary to malignancy or post-surgical stricture.

  • Scleroderma-related esophageal dysmotility: Typically involves both smooth muscle atrophy and GERD.


Final Diagnosis

Achalasia with secondary Candida esophagitis.

The patient had a prior history of chronic dysphagia without significant weight loss. Upper endoscopy revealed no obstructing mass, but Candida was isolated. Esophageal manometry confirmed Type II achalasia.


Treatment and Follow-up

The patient underwent surgical myotomy (Heller myotomy). Antifungal therapy was initiated for the Candida infection. Post-operative outcomes were favorable, with the resolution of dysphagia and no further aspiration.


References

[1] C. Boeckxstaens et al., "Achalasia," Lancet, vol. 383, no. 9911, pp. 83–93, 2014.
[2] E. Kahrilas et al., "Advances in the management of esophageal motility disorders," Nat Rev Gastroenterol Hepatol, vol. 14, pp. 527–540, 2017.
[3] F. Vaezi et al., "Aspirational pneumonia and esophageal dysfunction," Am J Gastroenterol, vol. 108, no. 5, pp. 753–762, 2013.
[4] A. Tutuian and J. Castell, "Esophageal testing in dysphagia: manometry and pH monitoring," Gastroenterol Clin North Am, vol. 47, no. 1, pp. 1–16, 2018.
[5] R. Clayton et al., "Radiographic appearance of esophageal diseases," Radiographics, vol. 32, no. 5, pp. 1423–1440, 2012.
[6] S. Pandolfino et al., "High-resolution manometry in clinical practice," Gastroenterology, vol. 152, no. 6, pp. 1761–1774, 2017.
[7] J. Wilcox et al., "Candida esophagitis in achalasia," Dis Esophagus, vol. 30, no. 3, pp. 1–5, 2017.

Comments

Popular posts from this blog

Understanding Tubal Ligation Clips: Imaging, Risks, Migration, and Management

The Lethal Lens: Mastering the Diagnosis and Management of Epidural Hemorrhage (EDH)

Teres Minor Atrophy: Causes, Imaging, and Clinical Implications