Swyer-James-MacLeod syndrome

 Swyer-James-MacLeod syndrome

1. Definition

Swyer-James-McLeod Syndrome (SJMS) is a rare, acquired pulmonary disorder characterized by post-infectious obliterative bronchiolitis leading to unilateral pulmonary hypoplasia, air trapping, and reduced vascular perfusion. It manifests as a hyperlucent lung or lobe, predominantly in children or young adults, often diagnosed incidentally or during evaluation for recurrent respiratory infections.


2. Etiology and Causes

SJMS is considered an acquired condition, most commonly resulting from severe lower respiratory tract infections during early childhood, particularly in the first eight years of life, a critical period for alveolar and bronchial development.

Causative Agents

  • Adenovirus (especially types 3, 7, 21): Strongly implicated in obliterative bronchiolitis.
  • Respiratory Syncytial Virus (RSV)
  • Mycoplasma pneumoniae
  • Influenza viruses
  • Pertussis
  • Measles

These pathogens trigger a severe inflammatory response that can result in bronchiolar obliteration, leading to the hallmark features of SJMS.


3. Pathogenesis

The pathogenesis is primarily rooted in post-infectious bronchiolar damage, which disrupts normal lung growth and airway architecture:

  1. Infection → severe bronchiolitis and pneumonitis.
  2. Inflammation → destruction of bronchiolar epithelium and surrounding lung parenchyma.
  3. Fibrosis and obliteration of terminal and respiratory bronchioles.
  4. Air trapping due to a "check-valve" mechanism: air enters during inspiration but cannot exit effectively during expiration.
  5. Hypoperfusion due to:
    • Reflex vasoconstriction from alveolar hypoxia.
    • Regression of pulmonary vasculature in the affected region (vascular pruning).
  6. Impaired alveolar growth: the affected lung or lobe becomes small, underdeveloped, and non-functional.

4. Pathophysiology

Key physiologic consequences include:

Airflow Limitation and Air Trapping

  • Obliterative bronchiolitis results in narrowed or completely occluded small airways.
  • Leads to localized emphysematous changes and persistent hyperinflation.

Ventilation–Perfusion (V/Q) Mismatch

  • Reduced perfusion to the affected lung results in a high V/Q ratio (ventilated but poorly perfused areas), contributing to hypoxemia.

Unilateral Pulmonary Hypoplasia

  • The hypoplastic lung is often smaller in volume, with decreased alveolarization and blood flow.
  • May exhibit compensatory hyperinflation of the contralateral lung.

Bronchiectasis

  • Chronic inflammation and mucus retention predispose the airways to dilation and distortion, resulting in cylindrical or varicose bronchiectasis.

5. Epidemiology

  • Incidence: Rare; exact prevalence unknown due to underdiagnosis and misclassification.
  • Age of Onset: Symptoms usually appear in childhood, although some patients remain asymptomatic until adolescence or adulthood.
  • Sex Distribution: Slight male predominance in some series.
  • Geography: Global distribution; more commonly recognized in countries with improved access to advanced imaging modalities.

6. Clinical Manifestations

Clinical presentation is variable:

Asymptomatic

  • Many cases are discovered incidentally during imaging for unrelated conditions.

Symptomatic

  • Chronic productive cough
  • Exertional dyspnea
  • Wheezing (due to airway obstruction)
  • Recurrent pulmonary infections, especially on the affected side
  • Hemoptysis (rare, may result from bronchiectasis)
  • Decreased exercise tolerance
  • Chest asymmetry (in severe unilateral disease)
  • Failure to thrive or growth retardation in children with severe disease

7. Imaging Features

Radiologic evaluation is the cornerstone of diagnosis.

Chest Radiograph


  • Unilateral hyperlucency of the affected lung or lobe.
  • Decreased vascular markings (oligemia).
  • Small hemithorax with mediastinal shift toward the affected side.
  • Compensatory hyperinflation of the contralateral lung.

High-Resolution CT (HRCT)


  • Mosaic attenuation (due to regional air trapping).
  • Bronchiectasis (cylindrical or varicose, especially in the lower lobes).
  • Hypoplastic pulmonary artery and branches on the affected side.
  • Hyperinflated lobes with areas of decreased attenuation.
  • Air trapping is accentuated on expiratory scans.

Ventilation–Perfusion (V/Q) Scan

  • Perfusion defect: markedly reduced or absent perfusion in affected regions.
  • Ventilation mismatch: Ventilation may be relatively preserved or only mildly reduced.

Pulmonary Angiography (rarely used today)


  • Confirms hypoplasia of the pulmonary artery and vascular pruning.

8. Pulmonary Function Tests (PFTs)

  • Obstructive pattern: ↓ FEV₁, ↓ FEV₁/FVC ratio.
  • Increased residual volume (RV) and total lung capacity (TLC) in hyperinflated lungs.
  • Reduced diffusing capacity (DLCO) in extensive disease.

9. Differential Diagnosis

SJMS must be differentiated from other causes of unilateral hyperlucent lung:

Condition

Key Differentiating Features

Congenital lobar overinflation (CLO)

Present in infancy; no vascular hypoplasia.

Pulmonary embolism

Acute onset; no air trapping or bronchiectasis.

Bullous emphysema

Seen in older adults; typically bilateral and no vascular hypoplasia.

Bronchial obstruction

Localized, may be due to tumor or foreign body.

Poland syndrome

Associated with chest wall deformities and absent pectoralis muscle.


10. Treatment

There is no curative treatment; management is mainly symptomatic and supportive.

Medical Management

  • Bronchodilators: to relieve airflow obstruction (if reversible component).
  • Inhaled corticosteroids may help in reducing airway inflammation.
  • Chest physiotherapy: to aid mucus clearance in patients with bronchiectasis.
  • Antibiotics: for treatment and prophylaxis of recurrent infections.
  • Vaccination: against influenza and pneumococcus.

Surgical Treatment

  • Lobectomy or pneumonectomy: considered in patients with:
    • Severe, localized disease
    • Frequent infections unresponsive to medical therapy
    • Massive hemoptysis

Surgical resection often results in significant symptomatic relief, particularly in children.

Pulmonary Rehabilitation

  • Breathing exercises and physical training to improve overall lung function and exercise tolerance.

11. Prognosis

The prognosis is generally favorable in patients with mild or localized disease, especially if managed effectively to prevent recurrent infections.

Better Prognosis

  • Asymptomatic or mildly symptomatic cases.
  • Early diagnosis with appropriate infection control.

Worse Prognosis

  • Diffuse bilateral disease (rare).
  • Coexisting bronchiectasis with frequent infections.
  • Delayed diagnosis with progressive pulmonary dysfunction.

Lung function may decline over time if left unmanaged, but most patients live normal or near-normal life spans, especially if complications are avoided.


12. Summary Table

Feature

Details

Etiology

Post-infectious bronchiolitis (adenovirus, RSV, etc.)

Pathogenesis

Airway obliteration → air trapping + hypoperfusion

Pathophysiology

Unilateral emphysema, bronchiectasis, decreased vascularity

Epidemiology

Rare; onset in childhood

Clinical Signs

Cough, dyspnea, infections, wheezing

Imaging

Hyperlucent lung, air trapping, small pulmonary artery

Treatment

Medical (bronchodilators, antibiotics), surgical in severe cases

Prognosis

Favorable if localized and well-managed

 =====================================

Case study: A 12-year-old girl with frequent bronchiolitis and intermittent cough, and dyspnea on exertion

Swyer-James-MacLeod syndrome

1. History Images

Patient Profile:

  • Sex/Age: Male, 14 years old

  • Past Medical History: Severe lower respiratory tract infection (bronchiolitis or childhood pneumonia) at approximately 6 months of age

  • Current Complaints: Intermittent cough, exertional dyspnea, frequent episodes of bronchitis

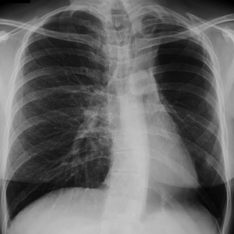
Chest X-ray (PA view):



2. Quiz Questions (Diagnostic Reasoning)

Q1. What is the most likely underlying pathophysiologic mechanism of Swyer-James-MacLeod syndrome?
A. Alveolar destruction associated with chronic obstructive pulmonary disease
B. Congenital pulmonary parenchymal malformation
C. Post-infectious obliterative bronchiolitis with peripheral pulmonary vascular underdevelopment
D. Intracellular Infiltration by Mycobacteria

Correct Answer: C. Post-infectious obliterative bronchiolitis with peripheral pulmonary vascular underdevelopment

Explanation:
Swyer-James-MacLeod syndrome is typically caused by severe lower respiratory tract infections during early childhood, especially due to adenovirus, resulting in obliterative bronchiolitis. This leads to chronic airway narrowing, air trapping, and poor development of the associated pulmonary vasculature, particularly in the affected lobe or lung. This mechanism explains the characteristic radiologic findings of unilateral hyperlucency and vascular attenuation.

Q2. What is the most characteristic radiologic feature of Swyer-James-MacLeod syndrome?
A. Lobar pneumonia
B. Bilateral pulmonary consolidation
C. Unilateral hyperlucency with air trapping
D. Pulmonary mass with central calcification

Correct Answer: C. Unilateral hyperlucency with air trapping

Explanation:
The hallmark radiographic feature of SJMS is a hyperlucent (over-aerated) lung or lung segment, usually unilateral, with associated air trapping seen particularly on expiratory imaging. This occurs due to reduced perfusion and airflow obstruction in the small airways. The vascular markings are also decreased, contributing to the overall lucent appearance.

Q3. What is the most useful imaging modality for evaluating Swyer-James-MacLeod syndrome?
A. Echocardiography
B. Abdominal CT
C. High-resolution chest CT
D. Liver MRI

Correct Answer: C. High-resolution chest CT

Explanation:
High-resolution computed tomography (HRCT) is the gold standard imaging modality for evaluating SJMS. It allows detailed visualization of bronchiectasis, air trapping, vascular attenuation, and the mosaic attenuation pattern indicative of regional ventilation/perfusion mismatch. It also provides information critical for planning management or surgical intervention.


3. Pathophysiology and Clinical Overview

Etiology

Swyer-James-MacLeod syndrome is most commonly caused by severe lower respiratory tract infections in infancy, notably with adenovirus types 3, 7, or 21, leading to post-infectious obliterative bronchiolitis and developmental arrest or destruction of peripheral airways and pulmonary vessels.

Pathogenesis

Initial infection → Bronchiolitis obliterans (inflammatory narrowing or obliteration of small airways) → Hypoperfusion and underdevelopment of affected lung segment → Air trapping and focal hyperinflation → Permanent unilateral pulmonary hypoplasia and bronchial wall changes.

Pathophysiology

  • Obstructive air trapping: Partial or complete obstruction of small airways causes air retention during expiration

  • Pulmonary hypovascularity: Due to damage and arrested development of peripheral vasculature

  • Functional reduction in the affected lung: May lead to compensatory overinflation of the contralateral lung

Epidemiology

  • A rare disorder, the true prevalence is unknown

  • Typically diagnosed in children or adolescents with a history of severe pulmonary infections

  • May remain undiagnosed until adulthood if asymptomatic

  • Slight male predominance has been reported

Clinical Features

  • Chronic cough, dyspnea, exercise intolerance

  • Recurrent bronchitis or pneumonia

  • In some cases, asymptomatic, detected incidentally on chest imaging

  • Auscultation may reveal reduced breath sounds or crackles

Radiologic Features

  • Unilateral hyperlucencyThe affected lung appears more radiolucent (darker) due to decreased pulmonary vascular markings and air trapping.

  • Reduced pulmonary vasculatureThere is a noticeable decrease in the size and number of pulmonary vessels on the affected side.

  • Small or normal lung volumeThe affected lung may be slightly reduced in volume or appear normal, depending on the extent of involvement.

  • Elevated hemidiaphragmThe diaphragm on the affected side may be elevated due to volume loss.

  • Mediastinal shiftIn some cases, there may be a shift of mediastinal structures toward the affected side.

High-Resolution CT (HRCT):

Interpretation Summary:
Typical imaging features of Swyer-James-MacLeod syndrome secondary to post-infectious obliterative bronchiolitis, with unilateral hypoperfused lung, bronchiectasis, and air trapping.

Differential Diagnosis

  • Congenital lobar emphysema

  • Unilateral emphysema

  • Pulmonary hypoplasia

  • Obliterative bronchiolitis from other causes

  • Unilateral pulmonary artery agenesis

Treatment and Prognosis

Management:

  • Observation in asymptomatic or mildly affected individuals

  • Airway clearance therapies (e.g., chest physiotherapy) for patients with productive cough

  • Vaccination against respiratory pathogens (influenza, pneumococcus)

  • Antibiotic therapy during infectious exacerbations

  • Surgical resection (e.g., lobectomy) may be considered in select patients with localized disease and recurrent infections

Prognosis:

  • Excellent in asymptomatic or mildly affected individuals

  • Progressive lung function decline is possible in cases with severe bronchiectasis

  • Long-term prognosis improves with early diagnosis and preventive management



Comments

Popular posts from this blog

Understanding Tubal Ligation Clips: Imaging, Risks, Migration, and Management

The Lethal Lens: Mastering the Diagnosis and Management of Epidural Hemorrhage (EDH)

Teres Minor Atrophy: Causes, Imaging, and Clinical Implications