Zinner syndrome

Zinner syndrome

Zinner Syndrome Overview

Zinner syndrome is a rare congenital malformation of the male genitourinary tract, characterized by the classic triad of:

  1. Unilateral renal agenesis
  2. Ipsilateral seminal vesicle cyst
  3. Ejaculatory duct obstruction

It is considered the male counterpart of the Mayer-Rokitansky-Küster-Hauser (MRKH) syndrome in females.


1. Cause and Etiology

Zinner syndrome results from abnormal development of the mesonephric (Wolffian) duct during embryogenesis, particularly between the 4th and 13th weeks of gestation.

  • Mesonephric duct derivatives in males include:
    • Epididymis
    • Vas deferens
    • Seminal vesicle
    • Ejaculatory duct
    • Trigone of the bladder
    • Ureteric bud (which forms the ureter, renal pelvis, calyces, and collecting ducts)
  • In Zinner syndrome, there is maldevelopment or failure of the ureteric bud to induce the metanephric blastema, leading to unilateral renal agenesis. Simultaneously, the malformed distal mesonephric duct contributes to seminal vesicle cyst formation and ejaculatory duct obstruction.

2. Pathophysiology

  • Renal Agenesis: Absence of one kidney due to failed ureteric bud development.
  • Seminal Vesicle Cyst: Because the ejaculatory duct is obstructed or hypoplastic, secretions from the seminal vesicle cannot be drained, leading to cystic dilatation.
  • Ejaculatory Duct Obstruction: Impedes sperm and seminal fluid passage during ejaculation, contributing to infertility and sometimes pain.

The cysts may enlarge over time, becoming symptomatic due to pressure effects or secondary infection.


3. Epidemiology

  • Prevalence: Very rare; fewer than 300 cases reported in the literature.
  • Sex: Occurs exclusively in males.
  • Laterality: Usually affects the left side more frequently.
  • Age at presentation: Typically in the second to fourth decades of life, often when patients seek evaluation for infertility or pelvic pain.
  • Asymptomatic cases: Some are detected incidentally during imaging for unrelated reasons.

4. Clinical Presentation

Symptoms usually arise from the enlarging seminal vesicle cyst and related obstruction. Common presentations include:

  • Lower urinary tract symptoms (LUTS):
    • Dysuria
    • Frequency
    • Urgency
    • Perineal discomfort
  • Pain:
    • Perineal or pelvic pain
    • Painful ejaculation
  • Sexual/Reproductive symptoms:
    • Painful ejaculation
    • Hematospermia
    • Decreased ejaculate volume
    • Infertility (often oligospermia or azoospermia)
  • Infection:
    • Recurrent urinary tract infections (UTIs)
    • Prostatitis or seminal vesiculitis

In rare cases, large cysts may cause:

  • Compression of adjacent structures (e.g., bladder, rectum)
  • Obstructive uropathy of the contralateral kidney

5. Imaging Features

Imaging is crucial for diagnosis. Modalities include:

Ultrasound (US)

  • May show:
    • Absence of one kidney
    • Cystic mass in the pelvis or retrovesical space

Computed Tomography (CT)

  • Useful for:
    • Confirming renal agenesis
    • Visualizing seminal vesicle cyst (well-defined, fluid-attenuation mass)
    • Assessing mass effect on adjacent organs

Magnetic Resonance Imaging (MRI)

https://doi.org/10.1038/s41443-020-00360-0

  • Gold standard for diagnosis due to superior soft tissue contrast
  • Features:
    • Seminal vesicle cyst: Hyperintense on T2-weighted images
    • Renal agenesis: Absence of renal tissue in renal fossa
    • No enhancement post-gadolinium unless infected
    • Associated atrophic vas deferens or ejaculatory duct can sometimes be visualized

Transrectal Ultrasound (TRUS)

Transrectal sonography (TRUS) images showing dilated right ejaculatory duct communicating with dilated right seminal vesicle protruding into the urinary bladder (A); Rather than purely anechoic, there are innumerable punctate echogenic dots/ low level internal echoes seen within the cyst (B). https://doi.org/10.3126/jssn.v24i2.42837

  • Useful for guiding aspiration or biopsy
  • Helps assess communication with seminal vesicles

6. Treatment

Treatment is based on symptom severity.

Asymptomatic patients:

  • Observation with regular follow-up imaging

Symptomatic patients:

  • Medical treatment (limited role):
    • Antibiotics for infection
    • Analgesics for pain

Surgical treatment:

  • Cyst aspiration (transrectal or percutaneous): Temporary relief; high recurrence rate
  • Transurethral resection of the ejaculatory duct (TURED):
    • Effective for drainage and symptom relief
    • Can improve fertility outcomes
  • Laparoscopic or robotic-assisted excision:
    • Definitive treatment
    • Preferred for large or recurrent cysts
    • Allows removal of the entire cyst with minimal morbidity

7. Prognosis

  • Excellent prognosis with appropriate treatment.
  • Fertility may improve after relieving ejaculatory duct obstruction.
  • Rare complications:
    • Recurrence of cysts (if not completely excised)
    • Chronic pelvic pain (if untreated)
    • Psychological distress from infertility

8. Differential Diagnosis

Other causes of pelvic cystic lesions in men include:

  • Müllerian duct cyst
  • Prostatic utricle cyst
  • Ejaculatory duct cyst (not associated with renal agenesis)
  • Abscess
  • Hydatid cyst
  • Cystic neoplasms

MRI and clinical correlation are key to distinguishing Zinner syndrome.


Summary Table

Feature

Zinner Syndrome

Etiology

Wolffian duct anomaly during embryogenesis

Triad

Renal agenesis + seminal vesicle cyst + ejaculatory duct obstruction

Symptoms

Pelvic pain, LUTS, painful ejaculation, infertility

Best Imaging

MRI

Treatment (Symptomatic)

TURED, laparoscopic cyst excision

Prognosis

Good, especially with surgical treatment

 ===============================================================

Case study: Elevated Creatinine Levels in a 68-Year-Old Man 
Zinner Syndrome

History and Imaging Findings

  1. This case involves a 68-year-old male patient diagnosed with stage IIIA chronic kidney disease (CKD), who has a congenitally absent left kidney.

  2. He presented with resistant hypertension and elevated serum creatinine levels.

  3. A computed tomography (CT) scan was performed.

Quiz:

  1. Hydronephrosis is one of the most critical diagnoses to exclude in patients with elevated creatinine levels.
    (1) True
    (2) False
    Explanation: In acute settings, hydronephrosis is among the most important conditions for patients with elevated creatinine levels. This is because urgent decompression can provide life-saving treatment.

  2. In a male patient with a congenitally absent kidney and infertility, which of the following structures is most likely to be affected?
    (1) Ejaculatory duct
    (2) Urethra
    (3) Testis
    (4) Rectum
    (5) All of the above
    Explanation: Male patients with a congenital absence of the kidney and infertility are likely to have ejaculatory duct obstruction, a hallmark feature of Zinner syndrome.



Zinner Syndrome is a rare congenital malformation characterized by the following key features. It arises from abnormalities in the mesonephric (Wolffian) duct and predominantly affects males.

Key Features of Zinner Syndrome

  • Unilateral renal agenesis: Absence or underdevelopment of one kidney.

  • Ipsilateral seminal vesicle cyst: Formation of a cyst in the seminal vesicle on the same side as the absent kidney.

  • Ipsilateral ejaculatory duct obstruction: Obstruction of the ejaculatory duct, resulting in impaired semen excretion.

Because these features often present with nonspecific symptoms such as abdominal pain or difficulty with urination, diagnosis can be challenging.

Diagnosis and Treatment

  • Diagnosis: Zinner syndrome is typically identified through imaging studies such as ultrasound or computed tomography (CT) scans.

  • Treatment: In symptomatic cases, surgical intervention may be required. This is particularly important when ejaculatory duct obstruction is present, as it may necessitate corrective surgery.

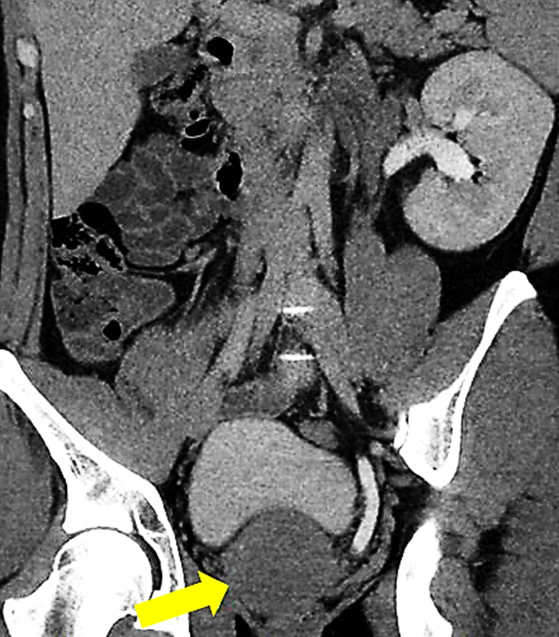
 3. According to the CT images, the left seminal vesicle is absent.

(1) True
(2) False
Explanation: The images show the presence of the bladder, right seminal vesicle, and rectum. However, the left seminal vesicle is absent.


Findings and Diagnosis

Findings:
There is congenital absence of the left kidney. Additionally, the left seminal vesicle is also absent.


Differential Diagnosis:

  • Müllerian agenesis

 

 

 

 

 



Key Features of Müllerian Agenesis

  • Absent Uterus: The uterus is either underdeveloped or completely absent in affected females.

  • Absent or Abnormally Developed Vagina: The vagina may be absent or incompletely developed, which can impact sexual function and menstruation.

  • Normal Ovarian Development: The ovaries typically develop normally, but due to the absence of the uterus and vagina, menstrual function is absent.


Symptoms

  • Amenorrhea: Absence of menstruation or significantly irregular periods.

  • Difficulty with Sexual Intercourse: Vaginal underdevelopment may result in challenges with sexual activity.

  • Psychological Impact: This condition can have emotional and psychological consequences, affecting a woman's mental health and sense of identity.


Diagnosis and Treatment

  • Diagnosis: Müllerian agenesis is typically diagnosed using imaging modalities such as ultrasound, MRI, or CT scans.

  • Treatment: Management depends on the specific symptoms. In cases of difficulty with intercourse, vaginal reconstructive surgery may be considered. Additionally, various options are available to address infertility issues.

  • Zinner Syndrome

Diagnosis: Zinner Syndrome


Discussion

Zinner Syndrome


Epidemiology and Pathogenesis

Congenital anomalies of the seminal vesicles are exceedingly rare. Because the ureteric bud and seminal vesicles both originate embryologically from the mesonephric (Wolffian) duct, abnormalities in this structure frequently result in associated defects in the ipsilateral upper urinary tract. The triad of a seminal vesicle cyst or agenesis, ipsilateral renal agenesis, and ejaculatory duct obstruction defines Zinner Syndrome. This syndrome results from mesonephric duct maldevelopment before the 7th week of gestation. It typically remains asymptomatic during childhood and becomes clinically apparent in the third or fourth decade of life.


Clinical Presentation

The clinical manifestations of Zinner Syndrome vary widely. However, patients often present with one or more of the following symptoms:

  • Dysuria

  • Infertility

  • Chronic pelvic pain

  • Painful ejaculation

  • Hematuria

  • Lower urinary tract symptoms (LUTS)

  • Urinary tract infections (UTIs)


Imaging Findings

Radiologic features suggestive of Zinner Syndrome typically include:

  • Ipsilateral congenital renal agenesis

  • Seminal vesicle cyst or agenesis on the affected side

  • Ejaculatory duct obstruction

Additional findings may include:

  • Small testis

  • Ipsilateral ureterocele


Treatment

Management of symptomatic patients often involves surgical excision of the seminal vesicle cyst. In patients with infertility, transurethral resection of the ejaculatory duct (TURED) may be indicated. For those with bilateral renal hypoplasia or agenesis, renal replacement therapy may be required.


References

  1. Ibrahim D. Zinner syndrome: Radiology Reference Article. Radiopaedia. https://radiopaedia.org/articles/zinner-syndrome-1.

  2. Talwar HS, Mittal A, Narain TA, Panwar VK. A wide spectrum of rare clinical variants of Zinner syndrome. BMJ Case Reports CP. 2021;14(1):e239254. doi:10.1136/bcr-2020-239254.

Comments

Popular posts from this blog

Understanding Tubal Ligation Clips: Imaging, Risks, Migration, and Management

The Lethal Lens: Mastering the Diagnosis and Management of Epidural Hemorrhage (EDH)

Teres Minor Atrophy: Causes, Imaging, and Clinical Implications