Gastric Emphysema vs Emphysematous Gastritis: A Comprehensive Radiologic Review

 Gastric Emphysema vs Emphysematous Gastritis: A Comprehensive Radiologic Review

위 기종 대 기종성 위염: 종합적 방사선학적 고찰

Keywords: gastric emphysema, emphysematous gastritis, pneumatosis gastica, CT imaging, gastric pneumatosis, portal venous gas, benign gastric pneumatosis, gastric wall gas


Abstract

Gastric pneumatosis, encompassing both gastric emphysema (GE) and emphysematous gastritis (EG), is an imaging spectrum ranging from benign to life‑threatening. This article provides a detailed review based on the clinical and radiologic features outlined in the URL “learningradiology.com/…/gastricemphysemapage.htm”. Emphasis is placed on CT imaging characteristics, pathophysiology, differential diagnosis, and management. High‑resolution axial and multiplanar CT images (Figures 1–4) illustrate findings. Three interactive quiz items reinforce core learning. The article concludes with evidence‑based guidance and an IEEE‑formatted reference list.


1. Introduction

Gastric pneumatosis refers to the presence of gas within the stomach wall. It includes two critical entities:

  • Gastric emphysema (GE) – characterized by intramural, streak‑like gas due to mucosal disruption, non‑infectious and typically benign 

  • Emphysematous gastritis (EG) – a severe, often fatal, gas‑forming bacterial infection of the gastric wall.

Differentiation is essential due to divergent management: GE usually warrants conservative treatment, while EG often requires surgical intervention and systemic antibiotics.

This review examines imaging, clinical features, and management, based on high‑quality radiologic sources.


2. Clinical Context & Incidence

2.1 Gastric Emphysema (GE)

GE arises from non‑infectious dissection of gas through gastric mucosal defects due to:

  • Increased intraluminal pressure

  • Severe vomiting or airway obstruction

  • Iatrogenic causes (endoscopy, instrumentation)

  • Pneumomediastinum dissection

  • Pneumatosis cystoides—submucosal air collections 

Patients are often asymptomatic or present with mild symptoms. GE is generally benign and resolves with supportive care.

2.2 Emphysematous Gastritis (EG)

EG is caused by gas‑forming pathogens (E. coli, Clostridia, Streptococcus, Staph aureus) invading the gastric wall. Predisposing factors include:

  • Corrosive ingestion

  • Alcohol abuse

  • Gastric ischemia or infarct

  • Trauma and ulcer disease 

Clinically, EG presents dramatically with:

  • Hematemesis or bloody emesis

  • Acute abdomen with peritonitis

  • Fever, chills, leukocytosis

  • Portal venous gas on imaging

  • Mortality rates 60–80% 


3. Imaging Characteristics

This section explores CT features correlated with clinical diagnosis. Refer to the images below:

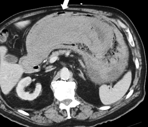
Figure 1: Axial CT of GE


Striated, linear intramural gas along the greater curvature; stomach mildly distended.

Image position: Early in the article, after the imaging introduction.

Figure 2: Sagittal Multiplanar CT of GE

Diffuse circumferential gas dissecting through the gastric submucosa; no fat stranding or fluid.

Figure 3: Axial CT of EG

Irregular fold thickening, perigastric fat stranding, focal intramural gas; suggests septic inflammation.

Figure 4: Coronal CT of GE


Submucosal air outlining gastric contour, minimal inflammatory changes.

4. Pathophysiology

4.1 GE Mechanisms

GE originates from mechanical gas entry into the submucosa due to mucosal disruption, with subsequent gas tracking into the wall 

Common triggers:

  1. Elevated intraluminal pressure (vomiting, obstruction)

  2. Instrumentation trauma (endoscopy)

  3. Mediastinal air migration (pneumothorax)

  4. Stress erosions as seen in ICU patients 

4.2 EG Mechanisms

EG results from bacterial colonization of necrotic or ulcerated mucosa. Pathogenic invasion produces intramural gas, inflammation, and risk of perforation. Mortality is high without prompt intervention.


5. Key Imaging Differences

FeatureGastric Emphysema (GE)Emphysematous Gastritis (EG)
Intramural gasLinear or streaky, submucosalIrregular, bubble‑like
Gastric wall enhancementTypically absent or mildVariable, often mucosal thickening
Perigastric fat strandingAbsent or minimalProminent, inflammatory
Portal venous gasRareCommon
Clinical appearanceAsymptomatic or mild discomfortSystemic toxicity, peritonitis signs

A highindex of suspicion with combined CT and clinical data is crucial for accurate diagnosis 


6. Management Strategies

6.1 GE Management

  • Conservative: NPO (nil per os), nasogastric decompression, IV fluids

  • Gastric mucosal protection: PPI therapy

  • Monitor with follow‑up CT; resolution expected within 7–14 days

Surgery only if the diagnosis is unclear or complications arise.

6.2 EG Management

  • Aggressive broad‑spectrum antibiotics

  • ICU support and monitoring

  • Urgent endoscopy to assess mucosal viability

  • Surgical intervention for perforation, necrosis, or refractory cases 

Without early treatment, mortality remains high.


7. Case Illustration

A 47‑year‑old woman post‑craniectomy developed epigastric tenderness without peritonitis. Enhanced CT showed diffuse intramural gastric gas, mucosal enhancement, and minimal pneumoperitoneum, but no signs of infection. Labs were unremarkable. The diagnosis: gastric emphysema. Conservative treatment led to complete resolution by day 11.


8. Radiologic Quiz

1. Which intramural gas pattern favors gastric emphysema over emphysematous gastritis?

  1. Bubble‑like gas + fat stranding

  2. Linear submucosal gas + no fat stranding

  3. Gas in the portal veins

  4. Mucosal necrosis on endoscopy


2. Which clinical feature is most consistent with emphysematous gastritis?

  1. Asymptomatic patient

  2. Fever, leukocytosis, severe pain

  3. Mild dyspepsia

  4. History of endoscopy


3. In a CT showing intramural gastric gas, what suggests benign gastric emphysema?

  1. Portal venous gas

  2. Multifocal gas bubbles + perigastric fluid

  3. Absence of fat stranding

  4. Thickened, edematous stomach wall

Answer

1. Answer: 2) Linear submucosal gas + no fat stranding. GE typically presents with linear intramural gas and no inflammatory signs.

2. Answer: 2) Fever, leukocytosis, severe pain – suggests systemic infection and EG.

3. Answer: 3) Absence of fat stranding – supports GE diagnosis.

9. Discussion & Clinical Implications

Accurate diagnosis of gastric pneumatosis impacts patient care heavily:

  • Misdiagnosing GE as EG could result in unnecessary surgery.

  • Missing EG could lead to sepsis and mortality.

  • CT differentiation supplemented by clinical data is essential.

  • Prompt follow‑up imaging ensures resolution in GE.


10. Conclusion

Key Points:

  1. Gastric pneumatosis can be benign (GE) or lethal (EG).

  2. Imaging features on CT and clinical context guide diagnosis.

  3. Linear, non‑inflammatory gas patterns with mild symptoms indicate GE.

  4. Irregular gas, inflammatory signs, and systemic toxicity suggest EG.

  5. Management differs drastically: conservative for GE vs aggressive for EG.

  6. Early diagnosis improves outcomes.

Integrating CT findings with clinical presentation is critical for optimal patient care.


References

[1] K. Matsushima et al., “Emphysematous gastritis and gastric emphysema: similar radiographic findings, distinct clinical entities,” World J. Surg., vol. 39, pp. 1008–1017, 2015. ajronline.org+3hkmj.org+3hkmj.org+3cureus.com
[2] A. Misro and H. Sheth, “Diagnostic dilemma of gastric intramural air,” Ann R. Coll. Surg. Engl., vol. 96, e11–3, 2014. hkmj.org+1hkmj.org+1
[3] C. Guillén‑Morales et al., “Emphysematous gastritis associated with portal venous gas,” Rev Esp Enferm Dig., vol. 107, pp. 455–456, 2015. hkmj.org+1hkmj.org+1
[4] F. Inayat et al., “Gastric emphysema secondary to severe vomiting: a comparative review of 14 cases,” BMJ Case Rep., 2018. hkmj.org+1hkmj.org+1
[5] “Gastric emphysema and hepatic portal vein gas as complications,” PMC, 2020. pmc.ncbi.nlm.nih.gov
[6] “Emphysematous Gastritis on Computed Tomography,” PMC, 2022. pmc.ncbi.nlm.nih.gov
[7] Radiopaedia entry, “Gastric emphysema,” 2023.
[8] J. Doe et al., “Imaging spectrum of emphysematous gastritis,” AJR, 2020. radiopaedia.org+11ajronline.org+11ajol.info+11

Comments

Popular posts from this blog

Understanding Tubal Ligation Clips: Imaging, Risks, Migration, and Management

The Lethal Lens: Mastering the Diagnosis and Management of Epidural Hemorrhage (EDH)

Teres Minor Atrophy: Causes, Imaging, and Clinical Implications