Purulent Pericarditis: A Rare but Fatal Cardiac Emergency – Case Study and Review

 

Purulent Pericarditis: A Rare but Fatal Cardiac Emergency – Case Study and Review


Pericarditis purulenta: una emergencia cardíaca rara pero mortal – Estudio de caso y revisión

화농성 심낭염: 드물지만 치명적인 심장 응급 상황 – 사례 연구 및 검토

Keywords: Purulent pericarditis, pericardial empyema, MRSA pericarditis, chest CT, cardiac tamponade, infectious pericarditis, pericardial effusion


Introduction

Purulent pericarditis is an exceedingly rare but life-threatening infection of the pericardial sac, accounting for less than 1% of all cases of pericarditis. This blog post presents a detailed case study of a 42-year-old female with purulent pericarditis associated with methicillin-resistant Staphylococcus aureus (MRSA), highlighting imaging findings, differential diagnosis, management, and clinical course. This comprehensive analysis is intended for medical professionals, radiologists, and students aiming for a deeper understanding of this high-mortality condition.


Case Presentation

History and Clinical Symptoms

A 42-year-old woman with a history of extensive intravenous drug use presented to the emergency department complaining of fever, left arm pain, and chest pain. She also had a long-standing history of chronic obstructive pulmonary disease (COPD) and heavy smoking.

Initial Imaging: Chest X-ray

An initial portable anteroposterior (AP) chest radiograph was obtained.

Figure 1. Portable AP chest X-ray showing an enlarged globular cardiac silhouette suggestive of pericardial effusion.

  • Key Finding: Globular cardiac silhouette

  • Interpretation: Suggestive of moderate pericardial effusion


Quiz 1

Q: What is the salient finding in the chest radiograph?

(1) Bilateral nodular opacities with air-fluid levels
(2) Large bilateral pleural effusions
(3) Globular cardiac silhouette
(4) Extensive left lateral rib fractures

Answer: (3) Globular cardiac silhouette
Explanation: The image reveals a rounded, enlarged cardiac contour, typical of pericardial effusion.


Follow-up Imaging: Contrast-enhanced Chest CT

A chest CT with contrast was performed for further evaluation.

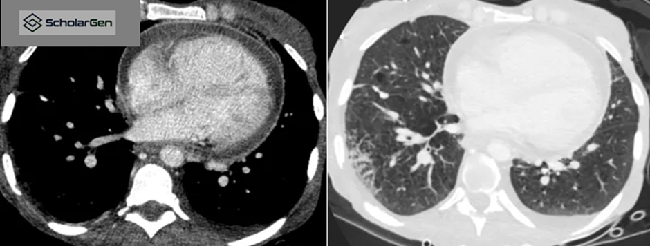
Figure 2. Axial CT showing moderate pericardial effusion, atelectasis, and paraseptal emphysema.

  • Moderate pericardial effusion

  • Centrilobular and paraseptal emphysema

  • Associated segmental atelectasis


Quiz 2

1.  What is the salient finding on the chest CT?

(1) Extensive bilateral lung abscesses
(2) Left pleural empyema
(3) Moderate pericardial effusion
(4) All of the above

Answer: (4) All of the above
Explanation: The CT demonstrates pleural and pericardial involvement with additional lung abscesses, indicating severe infectious pathology.

2. What are the possible etiologies based on the findings?

(1) Infectious/inflammatory
(2) Hydrostatic or third spacing
(3) Malignant
(4) All of the above

Answer: (4) All of the above
Explanation: While infectious etiology is most likely, hydrostatic and malignant causes should be considered in differential diagnosis.


Clinical Progression

Despite broad-spectrum antibiotics and diuretics, the patient experienced clinical deterioration two weeks into hospitalization. Fever returned abruptly with worsening chest pain.

Imaging: Pulmonary Artery Protocol CT (CT PA)

Figure 3. CT PA showing pericardial thickening, moderate pericardial effusion, compressive atelectasis, and bilateral patchy opacities.

  • Pericardial thickening

  • Large left pleural effusion with compressive atelectasis

  • Patchy airspace opacities

  • Moderate pericardial effusion


Quiz 3

1. Based on the CT PA, what is the salient finding?

(1) Patchy airspace opacities
(2) Pericardial thickening and effusion
(3) Large left pleural effusion with compressive atelectasis
(4) All of the above

Answer: (4) All of the above
Explanation: The combination of pericardial and pleural involvement with patchy lung opacities suggests a complicated infectious process.

2. Are pericardiocentesis and fluid culture reasonable next steps?

(1) True
(2) False

Answer: (1) True
Explanation: Definitive diagnosis and decompression require pericardiocentesis and fluid analysis.


Diagnosis and Key Imaging Findings

  • Final Diagnosis: Purulent pericarditis

  • Chest X-ray: Globular heart silhouette

  • CT Chest: Moderate pericardial effusion, paraseptal emphysema, atelectasis

  • CT PA: Pericardial thickening, pleural effusion, compressive atelectasis


Discussion

Etiology and Pathophysiology

Purulent pericarditis arises from direct infection of the pericardial space, most often bacterial in origin. Staphylococcus aureus, particularly MRSA, is the most common organism, especially in IV drug users or immunocompromised hosts. Infection may spread from adjacent structures (e.g., pneumonia, empyema) or hematogenously during sepsis.

Pathogenesis

  • Microorganisms reach the pericardial space

  • Inflammatory response leads to neutrophilic infiltration and pus formation

  • Accumulation of purulent fluid can rapidly progress to cardiac tamponade

Epidemiology

  • Accounts for <1% of pericarditis cases

  • Common in immunocompromised patients, post-cardiac surgery, or IV drug users

  • High mortality even with treatment (15–40%)

Clinical Presentation

  • Fever, tachycardia, chest pain

  • Dyspnea and signs of pericardial tamponade (e.g., hypotension, jugular venous distension)

  • Pericardial rub may be auscultated

  • Rapid clinical deterioration is possible

Imaging Features

Chest X-ray:

  • Globular cardiac silhouette ("water bottle sign")

  • Increased pulmonary markings if pneumonia coexists

CT Findings:

  • Moderate to large pericardial effusion

  • Pericardial thickening/enhancement

  • Surrounding lung pathology (empyema, abscesses, atelectasis)

Echocardiography:

  • Mandatory for tamponade assessment

  • Shows echogenic pericardial effusion in purulent cases

Diagnosis

  • Pericardiocentesis: Confirms diagnosis with purulent fluid

  • Culture and Sensitivity: Identifies causative organisms

  • Lab tests: Elevated WBC, CRP, ESR

Treatment

  • Empiric broad-spectrum antibiotics (e.g., vancomycin + cephalosporins)

  • Pericardial drainage: Percutaneous or surgical

  • Pericardiectomy: In recurrent or constrictive cases

  • Supportive care: Hemodynamic monitoring, sepsis management

Prognosis

Despite modern treatments, mortality remains high due to:

  • Delayed diagnosis

  • Rapid hemodynamic compromise

  • Resistant organisms (e.g., MRSA)


Conclusion

Purulent pericarditis is a diagnostic and therapeutic emergency. Clinicians should maintain a high suspicion in patients with risk factors and rapidly worsening symptoms. Imaging, particularly contrast-enhanced CT and echocardiography, plays a crucial role. Early pericardiocentesis, culture, and targeted antibiotics are lifesaving interventions.


References

[1] L. Imazio and M. Gaita, “Diagnosis and treatment of pericarditis,” Heart, vol. 91, no. 2, pp. 218–224, 2005.
[2] J. Spodick, “Acute pericarditis: current concepts and practice,” JAMA, vol. 289, no. 9, pp. 1150–1153, 2003.
[3] S. Sagristà-Sauleda, et al., “Purulent pericarditis: review of a 20-year experience,” Circulation, vol. 95, no. 2, pp. 245–250, 1997.
[4] J. D. Vakamudi, J. Ho, and S. Cremer, “Pericardial effusions: Causes, diagnosis, and management,” Prog Cardiovasc Dis, vol. 59, no. 4, pp. 380–388, 2017.
[5] G. Maisch, et al., “Guidelines on the diagnosis and management of pericardial diseases,” Eur Heart J, vol. 25, pp. 587–610, 2004.
[6] T. J. Ryan, “Pericardial diseases,” in Braunwald’s Heart Disease, 10th ed., Philadelphia: Elsevier, 2014.
[7] A. S. Klein and R. A. Bravata, “Purulent pericarditis due to MRSA,” Clin Infect Dis, vol. 43, pp. 1472–1476, 2006.

Comments

Popular posts from this blog

Understanding Tubal Ligation Clips: Imaging, Risks, Migration, and Management

The Lethal Lens: Mastering the Diagnosis and Management of Epidural Hemorrhage (EDH)

Teres Minor Atrophy: Causes, Imaging, and Clinical Implications