Diffuse Atypical Papillomatosis of the Breast: Insights, Imaging, and Management

Diffuse Atypical Papillomatosis of the Breast: Insights, Imaging, and Management

Diffuse atypical papillomatosis of the breast is a rare and clinically significant papillary lesion involving multiple intraductal papillomas with cytologic atypia. These lesions are typically confined to a breast segment, but they may extend more diffusely or appear bilaterally. Occupying a "borderline" space between benign papillomas and ductal carcinoma in situ (DCIS), this condition requires meticulous imaging evaluation and a multidisciplinary treatment strategy.


1. Definition and Pathologic Spectrum

Papillary breast lesions are defined histologically by frond-like fibrovascular cores lined by both epithelial and myoepithelial cells. When five or more intraductal papillomas occur within a single segment and exhibit atypical ductal hyperplasia (ADH) or low-grade DCIS, they are categorized as diffuse atypical papillomatosis. This entity has a well-documented risk of malignant transformation.


2. Clinical Presentation and Epidemiology

This condition most commonly affects women between the ages of 30 and 50, although cases outside this range have been reported. Many patients remain asymptomatic. When symptoms do occur, they may include:

A palpable breast mass

Nipple discharge

Mammographic asymmetry

In a highlighted case, the lesions were discovered incidentally during routine imaging in the absence of clinical symptoms such as nipple discharge.


3. Imaging Characteristics

A multimodal imaging approach—combining mammography, ultrasound, and magnetic resonance imaging (MRI)—is crucial for accurately evaluating the extent and nature of the disease.

3.1 Mammography

Mammography may demonstrate:

Clustered nodular densities

Mass-like asymmetries

Occasional calcifications

However, the actual disease extent is often underestimated radiographically.

Figure 1. Bilateral digital mammogram reveals multiple small masses in the inferior medial quadrant of the right breast, extending from anterior to posterior depth.

3.2 Ultrasound

Sonography typically reveals:

Multiple hypoechoic, irregular, or lobulated intraductal masses

Lesions are usually <1 cm in size

Vascular stalks are evident on color Doppler

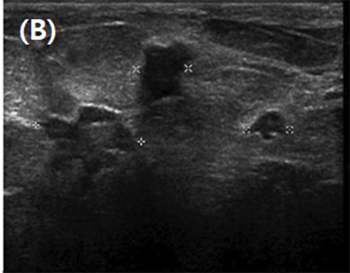
Figure 2. Targeted ultrasound demonstrates multiple small, irregular, and loculated solid hypoechoic lesions, correlating with mammographic findings.

3.3 MRI

MRI is superior in delineating:

Segmental or ductal enhancement

“String-of-pearls” enhancement pattern

Multifocal or bilateral disease involvement

Figure 3. MRI 3D subtraction MIP image shows multiple segmental, tiny enhancing lesions in the right breast (arrow).


4. Histopathology and Underestimation Risk

Histologic sampling via core needle biopsy often underestimates the extent and grade of the lesion. Studies have shown that surgical excision results in a diagnostic upgrade in up to 67% of cases where atypia was initially observed.

Figure 4 (C) Low-power magnification shows solid hyperplastic architecture, with epithelial proliferation filling ductal spaces and no glandular structures. (D) High-power magnification demonstrates cytologic atypia, with uniform epithelial proliferation, enlarged nuclei, and chromatin clumping near the nuclear membrane.

These histologic findings support the lesion’s potential for malignant progression and justify surgical excision in most cases.


5. Malignancy Risk

While solitary papillomas have a slightly elevated malignancy risk (1.5–2×), multiple papillomas with atypia increase the likelihood of invasive carcinoma up to 7-fold. This heightened risk demands aggressive and personalized treatment planning.


6. Therapeutic Approach

6.1 Surgical Excision

Surgical removal is recommended for all papillomas with atypia or discordant imaging-pathology findings. Excision with ≥10 mm margins helps prevent local recurrence.

6.2 Mastectomy

Mastectomy is considered when:

The disease is segmentally extensive

Multicentric involvement is confirmed

Patient preference dictates a more definitive approach

In the reviewed case, bilateral mastectomy was performed—therapeutic on the right and prophylactic on the left—largely influenced by patient anxiety. Final pathology revealed diffuse atypical papillomatosis with no invasive carcinoma.

6.3 Reconstruction and Oncoplastic Techniques

For patients undergoing mastectomy, nipple-sparing mastectomy and reconstructive surgery should be discussed to ensure oncologic safety and cosmetic preservation.


7. Surveillance and Multidisciplinary Management

7.1 Surveillance Strategy

Annual mammography is essential.

Breast MRI is advisable for patients with dense breast tissue or high-risk histologic profiles.

Interval ultrasound may serve as a supplementary tool, especially after breast-conserving surgery.

7.2 Multidisciplinary Collaboration

Care should involve:

Breast radiologists

Pathologists

Surgical oncologists

Medical oncologists

The patient’s informed preferences

7.3 Psychosocial Support

Due to the disease’s uncertain prognosis and possible disfiguring surgeries, psychological counseling and peer support systems are invaluable.


8. Future Directions

Emerging technologies and innovations are reshaping management:

AI-enhanced imaging for more accurate detection and classification

Molecular profiling for risk stratification

Vacuum-assisted excision as a less invasive therapeutic option

Prospective studies are needed to define thresholds for mastectomy, optimal follow-up intervals, and the role of newer diagnostic tools


Key Clinical Takeaways

Point

Clinical Implication

Core needle biopsy has high underestimation rates

Surgical excision is essential

Atypia and multifocality elevate malignancy risk

Consider a mastectomy for extensive disease

MRI is the most comprehensive imaging tool

Crucial for surgical planning

Multidisciplinary care improves outcomes

Include patient perspectives

Lifelong surveillance is mandatory

Utilize mammogram ± MRI/ultrasound


References

Muttarak M, et al. Spectrum of papillary lesions of the breast: Clinical, imaging, and pathologic correlation. AJR. 2008;191:700–707. DOI: 10.2214/AJR.07.3483

Mercado CL, et al. Papillary lesions of the breast at percutaneous core needle biopsy. Radiology. 2006;238:801–808. DOI: 10.1148/radiol.2382041839

Ueng S, et al. Papillary neoplasms of the breast: A review. Arch Pathol Lab Med. 2009;133:893 907. DOI: 10.5858/133.6.893

Rella R, et al. Multiple papillomas of the breast: A review. J Imaging. 2022;8(7):198. DOI: 10.3390/jimaging8070198

Debnath D, et al. Multiple papillomatosis of the breast and the patient’s choice of treatment. Pathol Res Int. 2010;2010:540590. DOI: 10.4061/2010/540590

Al Sarakbi M, et al. Breast papillomas: Current management and new therapeutic modalities. Int Semin Surg Oncol. 2006;3:1. DOI: 10.1186/1477-7800-3-1

Comments

Popular posts from this blog

Understanding Tubal Ligation Clips: Imaging, Risks, Migration, and Management

The Lethal Lens: Mastering the Diagnosis and Management of Epidural Hemorrhage (EDH)

Teres Minor Atrophy: Causes, Imaging, and Clinical Implications