A 67-Year-Old Man with Chronic Cough and Dyspnea, Idiopathic Pulmonary Fibrosis

 IPF: Idiopathic pulmonary fibrosis

Idiopathic Pulmonary Fibrosis (IPF) is a chronic, progressive, and usually fatal interstitial lung disease characterized by fibrosis of the lung parenchyma with no identifiable cause. It is the most common and deadly form of idiopathic interstitial pneumonias.


1. Cause and Etiology

  • Idiopathic nature: As the name implies, the precise cause of IPF remains unknown despite extensive research.
  • Proposed risk factors:
    • Genetic predisposition: Mutations in genes involved in epithelial integrity and surfactant homeostasis (e.g., TERT, TERC, SFTPC, SFTPA2, MUC5B) are linked with familial and sporadic cases.
    • Environmental exposure: Chronic inhalation of organic or inorganic dusts, metal particles, smoking, and agricultural exposure may contribute.
    • Age-related changes: Aging-associated changes in immune function, epithelial cell senescence, and telomere shortening are implicated.
    • Microaspiration and gastroesophageal reflux disease (GERD): Frequently observed in IPF patients, possibly contributing to repetitive alveolar epithelial injury.

2. Pathophysiology

  • Aberrant wound healing response: Instead of normal repair, repetitive injury to alveolar epithelial cells leads to an exaggerated fibrotic response.
  • Fibroblast proliferation and myofibroblast foci: Activated fibroblasts deposit excessive extracellular matrix (collagen, fibronectin), leading to architectural distortion.
  • Honeycombing and traction bronchiectasis: Destruction of alveolar structures leads to cystic airspaces surrounded by fibrotic tissue.
  • Role of cytokines and growth factors: TGF-β, PDGF, VEGF, and CTGF are overexpressed, promoting fibrosis.
  • Minimal inflammation: Unlike other interstitial pneumonias, IPF features limited inflammatory infiltrates.

3. Epidemiology

  • Prevalence: Approximately 14–63 cases per 100,000 in the U.S.; prevalence is increasing worldwide due to aging populations and improved recognition.
  • Incidence: 6–16 per 100,000 persons per year in North America and Europe.
  • Age: Usually affects individuals aged >50 years.
  • Sex: Male predominance (about 2:1 ratio).
  • Race/Ethnicity: Slightly more prevalent in Caucasians.

4. Clinical Presentation

  • Symptoms:
    • Progressive dyspnea on exertion
    • Persistent dry cough
    • Fatigue and weight loss (less common)
  • Physical examination:
    • Bibasilar inspiratory crackles (Velcro-like)
    • Clubbing of the fingers in up to 50% of patients
    • Cyanosis in advanced disease
  • Course: Insidious onset; gradual progression over months to years. Periodic acute exacerbations can occur, associated with sudden worsening.

5. Imaging Features

High-Resolution Computed Tomography (HRCT)

  • Diagnostic cornerstone of IPF.
  • Usual Interstitial Pneumonia (UIP) pattern is the hallmark.

Key HRCT features of UIP:

    • Subpleural and basal predominance
    • Reticular opacities (network-like lines)
    • Honeycombing: clustered cystic airspaces, 3–10 mm in size
    • Traction bronchiectasis: dilated airways pulled by fibrotic tissue
    • Absence of features suggesting alternative diagnoses (e.g., extensive ground-glass opacities, nodules, consolidation, or upper-lobe predominance)

Chest X-ray

  • Low sensitivity; often shows reticular opacities in the lower zones.
  • May be normal in early disease.

6. Treatment

A. Pharmacological

  • Antifibrotic agents:
    • Pirfenidone: anti-inflammatory and antifibrotic; slows functional decline.
    • Nintedanib: tyrosine kinase inhibitor; inhibits pathways involved in fibrosis.
  • Corticosteroids and immunosuppressants: generally not effective and not recommended; may be harmful in IPF.
  • Supportive therapies:
    • Oxygen therapy for hypoxemia
    • Pulmonary rehabilitation

B. Non-Pharmacologic

  • Lung transplantation:
    • Only treatment shown to prolong survival in advanced IPF.
    • Indicated in selected patients with severe disease or rapid decline.
  • Management of comorbidities:
    • GERD treatment
    • Pulmonary hypertension management

C. Acute Exacerbations

  • Defined as rapid respiratory deterioration without other identifiable cause.
  • Treated with high-dose corticosteroids (although evidence is limited) and supportive care.

7. Prognosis

  • Progressive and fatal disease: median survival is approximately 3–5 years from diagnosis.
  • Variable course:
    • Some have a slow, gradual decline.
    • Others experience acute exacerbations with high short-term mortality.
  • Poor prognostic factors:
    • Older age
    • Low baseline FVC and DLCO
    • Rapid decline in lung function
    • Presence of pulmonary hypertension
  • Prognostic scoring systems:
    • GAP Index (Gender, Age, Physiology): commonly used to estimate survival risk.

Summary Table

Aspect

Description

Cause

Unknown; risk factors include age, smoking, genetics, GERD

Pathophysiology

Repetitive alveolar injury → fibroblast activation → collagen deposition → fibrosis

Epidemiology

6–16 per 100,000 annually; mostly men >50

Symptoms

Progressive dyspnea, dry cough, bibasilar crackles

Imaging (HRCT)

UIP pattern: basal/subpleural reticulation, honeycombing, traction bronchiectasis

Treatment

Pirfenidone, nintedanib, oxygen, rehab, transplant

Prognosis

Median survival 3–5 years; poor if rapid decline or comorbidities

 

===================================

Case Study: A 67-Year-Old Man with Chronic Cough and Dyspnea 
 Idiopathic Pulmonary Fibrosis


History and Imaging Findings

  1. A 67-year-old man presented with chronic cough and progressive dyspnea.

  2. He had a medical history of chronic sinusitis and gastroesophageal reflux disease (GERD).

  3. Chest CT was performed for further evaluation.

  4. He was diagnosed with acute hypoxic respiratory failure.


Quiz

1. Based on the imaging findings, which of the following is the least likely diagnosis in a non-smoking patient?

(1) Idiopathic pulmonary fibrosis
(2) Desquamative interstitial pneumonia
(3) Usual interstitial pneumonia
(4) Nonspecific interstitial pneumonia
(5) Organizing pneumonia

Explanation: Desquamative interstitial pneumonia (DIP) is strongly associated with a history of smoking. In a non-smoker, this diagnosis becomes less likely, especially when radiologic findings point more toward a fibrotic process consistent with other interstitial pneumonias.


2. A patient with a radiologic pattern consistent with idiopathic usual interstitial pneumonia (UIP) is considered to have idiopathic pulmonary fibrosis (IPF).

(1) True
(2) False

Explanation: When a patient shows a typical UIP pattern on high-resolution CT (HRCT) without any identifiable cause such as connective tissue disease, drug exposure, or environmental insult, the diagnosis is idiopathic pulmonary fibrosis (IPF).


Question 3

Considering the above imaging, what is the most likely cause of the patient’s acute respiratory deterioration?

(1) Fibrotic lung disease
(2) Pulmonary emboli
(3) Pneumothorax
(4) Pleural effusion
(5) Atelectasis
(6) Pneumonia

Explanation: In patients with advanced fibrotic lung disease and associated subpleural cystic changes (honeycombing), acute respiratory deterioration may be due to secondary pneumothorax. Extensive fibrosis increases the risk of alveolar rupture and air leak into the pleural space, making pneumothorax a critical and likely diagnosis.


Findings and Diagnosis

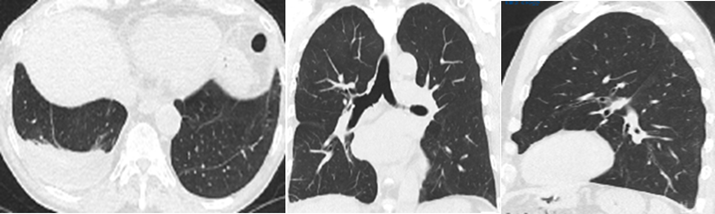
Rapidly progressive fibrosing interstitial lung disease. Marked subpleural and bilateral basal traction bronchiectasis, honeycombing, and irregular reticular opacities suggest an atypical UIP pattern/idiopathic pulmonary fibrosis.

Post-bilateral Lung Transplantation Status.
A small amount of persistent pleural effusion was observed along the surgical suture lines, accompanied by scattered pleural-parenchymal scarring. Additionally, localized peribronchial fibrosis was noted in the right lower lobe.


Differential Diagnosis

  • Usual interstitial pneumonia (UIP)

  • Nonspecific interstitial pneumonia (NSIP)

  • Idiopathic pulmonary fibrosis (IPF)

Final Diagnosis: Idiopathic Pulmonary Fibrosis (IPF)


Discussion

Idiopathic Pulmonary Fibrosis (IPF)

Epidemiology / Pathophysiology
Pulmonary fibrosis and architectural remodeling of the lung can result from a variety of environmental insults such as allergens, chemical exposures, and radiation. However, the exact cause of IPF remains unknown. The fibrotic response appears to stem from aberrant wound healing following repeated alveolar epithelial injury.

Typically, pulmonary fibrosis progresses through three key phases: injury, inflammation, and repair. Dysregulation in one or more of these phases may lead to the development of fibrotic lung disease. Chronic inflammation can induce the release of chemokines, cytokines, and growth factors, disrupting normal tissue repair and promoting pathological fibrosis by altering cellular recruitment and proliferation.

Clinical Presentation
Patients with IPF commonly present with a dry, nonproductive cough lasting more than 24 months, progressive exertional dyspnea, weight loss, and fatigue. Most individuals are over 50 years of age at the time of diagnosis.

Imaging Features
IPF is radiologically defined by a usual interstitial pneumonia (UIP) pattern in the absence of a known cause. High-resolution computed tomography (HRCT) typically reveals subpleural and posterior basal predominance of honeycombing, reticular septal thickening, and traction bronchiectasis. These findings are characteristic of UIP and support the diagnosis of IPF.

Treatment and Prognosis
Unfortunately, the prognosis of IPF is poor. The median survival from the time of diagnosis is approximately 2.5 to 3.5 years. Management often involves antifibrotic agents (such as pirfenidone or nintedanib), supportive care, and consideration for lung transplantation in eligible patients.


References

  1. Raghu G, Remy-Jardin M, Myers JL, et al. Diagnosis of Idiopathic Pulmonary Fibrosis. An Official ATS/ERS/JRS/ALAT Clinical Practice Guideline. Am J Respir Crit Care Med. 2018;198(5):e44-e68. doi:10.1164/rccm.201807-1255ST
  2. Lederer DJ, Martinez FJ. Idiopathic Pulmonary Fibrosis. N Engl J Med. 2018;378(19):1811-1823. doi:10.1056/NEJMra1705751
  3. Lynch DA, Sverzellati N, Travis WD, et al. Diagnostic criteria for idiopathic pulmonary fibrosis: a Fleischner Society White Paper. Lancet Respir Med. 2018;6(2):138-153. doi:10.1016/S2213-2600(17)30433-2
  4. King TE Jr, Pardo A, Selman M. Idiopathic pulmonary fibrosis. Lancet. 2011;378(9807):1949-1961. doi:10.1016/S0140-6736(11)60052-4
  5. Flaherty KR, Wells AU, Cottin V, et al. Nintedanib in Progressive Fibrosing Interstitial Lung Diseases. N Engl J Med. 2019;381(18):1718-1727. doi:10.1056/NEJMoa1908681


Comments

Popular posts from this blog

Understanding Tubal Ligation Clips: Imaging, Risks, Migration, and Management

The Lethal Lens: Mastering the Diagnosis and Management of Epidural Hemorrhage (EDH)

Teres Minor Atrophy: Causes, Imaging, and Clinical Implications