Pneumoperitoneum

 Pneumoperitoneum

Pneumoperitoneum: Overview

Pneumoperitoneum refers to the presence of gas or air in the peritoneal cavity, typically indicating a perforation of a hollow abdominal viscus, which constitutes a surgical emergency. However, it can also occur in non-emergent settings (non-surgical or spontaneous pneumoperitoneum).


1. Cause and Etiology

A. Surgical (True) Pneumoperitoneum – ~90% of cases

Most commonly due to perforation of an intra-abdominal hollow organ:

  • Peptic ulcer disease (gastric or duodenal perforation)
  • Diverticulitis (perforated diverticulum)
  • Appendicitis
  • Inflammatory bowel disease (IBD) (e.g., Crohn’s disease with perforation)
  • Bowel obstruction with necrosis/perforation
  • Iatrogenic causes
    • Laparoscopy (insufflation of CO₂)
    • Endoscopy or colonoscopy with perforation
    • Peritoneal dialysis catheter insertion

B. Non-surgical (Benign) Pneumoperitoneum

  • Postoperative residual air (resolves within 3–6 days after surgery)
  • Mechanical ventilation (barotrauma in critically ill patients)
  • Peritoneal dialysis
  • Pneumatosis cystoides intestinalis (gas cysts in bowel wall rupture)
  • Vaginal insufflation (rare, through fallopian tubes)
  • Infections with gas-producing organisms (e.g., Clostridium)

2. Pathophysiology

  • In normal conditions, the peritoneal cavity is a potential space with no air.
  • When a viscus perforates, intraluminal gas (and often contents) escape into the sterile peritoneal cavity.
  • This results in chemical and bacterial peritonitis, leading to:
    • Inflammatory response
    • Fluid shifts (third spacing)
    • Systemic inflammatory response syndrome (SIRS)
    • Sepsis or septic shock if untreated
  • In benign or non-surgical pneumoperitoneum, there is no perforation or spillage, so inflammation is minimal or absent.

3. Epidemiology

  • Incidence:
    • Not precisely quantified due to its presentation as a radiological sign rather than a disease entity.
  • Demographics:
    • Affects all age groups.
    • Most common in elderly patients due to higher rates of peptic ulcer disease, diverticulitis, and malignancy.
  • Surgical pneumoperitoneum is more common than spontaneous.

4. Clinical Presentation

A. Perforation-Related Pneumoperitoneum (Surgical)

  • Acute, severe abdominal pain – sudden onset
  • Peritonitis signs: guarding, rigidity, rebound tenderness
  • Abdominal distension
  • Nausea, vomiting
  • Fever and tachycardia
  • Hypotension, septic shock (advanced cases)

B. Non-Surgical Pneumoperitoneum

  • Often asymptomatic
  • Incidental finding on imaging
  • May have mild abdominal discomfort or bloating

5. Imaging Features

A. Plain Radiograph (X-ray)


  • Upright chest X-ray is most sensitive:
    • Free air under the diaphragm (especially the right side)
  • Supine abdominal X-ray:
    • Rigler's sign: visible outlines of both sides of the bowel wall (air inside and outside)
    • Football sign: massive free air outlining the peritoneal cavity
    • Falciform ligament sign: air outlines the falciform ligament
    • Double wall sign: air on both sides of the bowel wall

B. Computed Tomography (CT)


  • Gold standard for diagnosis
  • Can detect very small amounts of free air
  • Can localize the source of perforation
  • Shows associated findings: abscess, fluid, inflammation

C. Ultrasound


  • Not first-line but may show reverberation artifacts (ring-down or comet tail) if free air is present anterior to the liver.

6. Treatment

A. Surgical Pneumoperitoneum

  • Emergency surgery is often required:
    • Exploratory laparotomy or laparoscopy to identify and repair the perforation
  • Broad-spectrum IV antibiotics
  • IV fluid resuscitation
  • Nasogastric decompression if ileus or obstruction is present

B. Non-Surgical Pneumoperitoneum

  • Conservative management if no signs of peritonitis or systemic toxicity
  • Close clinical monitoring
  • Serial imaging
  • Supportive care (e.g., oxygen, fluids)

7. Prognosis

Surgical Pneumoperitoneum

  • Prognosis depends on:
    • Cause of perforation
    • Time to intervention
    • Extent of contamination and peritonitis
    • Patient comorbidities
  • Early intervention can significantly improve outcomes
  • Mortality rates:
    • <10% if promptly treated

o    50% if delayed diagnosis or in septic shock

Non-Surgical Pneumoperitoneum

  • Excellent prognosis with resolution once the underlying cause is managed
  • Rarely requires surgery

Key Points Summary

Aspect

Summary

Cause

Mostly due to GI perforation (e.g., ulcers, diverticulitis); can be non-surgical

Etiology

Trauma, surgery, inflammation, infection, and medical procedures

Pathophysiology

Gas in the peritoneum causes peritonitis in perforation; benign in others

Epidemiology

More common in the elderly; often seen postoperatively or in the ICU

Clinical Features

Acute abdomen in perforation; asymptomatic in benign cases

Imaging

Upright chest X-ray, CT for confirmation/localization

Treatment

Surgery for perforation; observation for benign causes

Prognosis

Depends on the etiology and the timeliness of treatment

 

===================================================

Case Study 792: Altered Mental Status in a 72-Year-Old Female
Pneumoperitoneum

History and Imaging Findings

  1. A 72-year-old female presented with altered mental status.

  2. Physical examination revealed significant abdominal rigidity and rebound tenderness.

  3. Arterial blood gas analysis demonstrated an elevated lactate level of 3.8 mmol/L (reference range: 0.5–1.6 mmol/L).

  4. Chart review showed no recent history of surgical procedures.

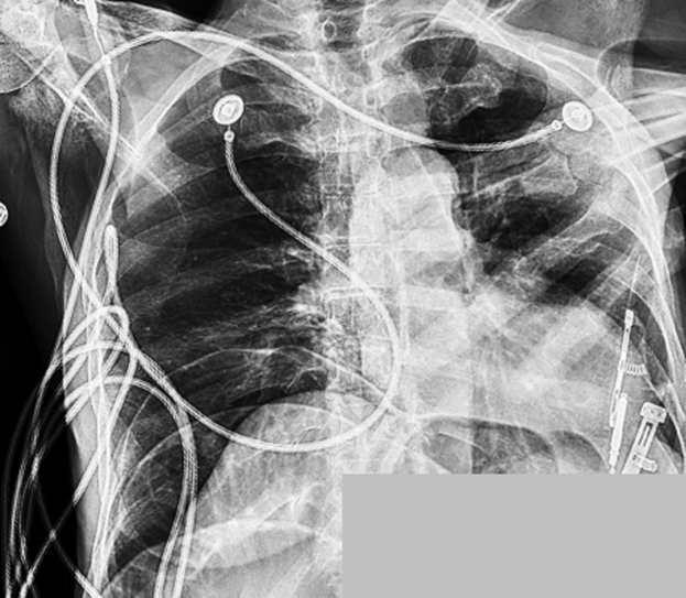
  5. The image below is a portable chest radiograph.


Quiz 1:

  1. What is the primary finding on the chest radiograph?
     (1) Pneumoperitoneum
     (2) Pneumothorax
     (3) Pneumomediastinum
     (4) Right rib fracture

  2. There are no benign causes of pneumoperitoneum.
     (1) True
     (2) False

Explanation:
Recent laparoscopic surgery involving insufflation of the abdomen with carbon dioxide is a benign and non-emergent cause of pneumoperitoneum. Post-traumatic pseudo-pneumoperitoneum is another example of a benign etiology.


Additional Imaging:

  1. An emergency contrast-free CT scan of the abdomen and pelvis was obtained (no oral or intravenous contrast was administered).

  2. Axial, sagittal, and coronal reformatted images are presented in lung window (first image) and soft tissue window (second and third images).


Quiz 2

  1. Which CT findings are indicative of pneumoperitoneum?
    A. Outlining of the falciform ligament by free air
    B. Triangular-shaped air between loops of bowel
    C. Small bowel dilatation
    D. Air-fluid levels within the small bowel
    E. Both A and B
    F. Both A and C
    G. None of the above

  2. What is the other major finding on the imaging studies?
    (1) Small bowel obstruction
    (2) Gastric outlet obstruction
    (3) Colonic obstruction without small bowel involvement
    (4) Liver cirrhosis

  3. According to the 3-6-9 rule, the normal diameter of the small intestine should be less than:
    (1) 3 cm
    (2) 6 cm
    (3) 9 cm

  4. In this clinical scenario—pneumoperitoneum, small bowel obstruction, and elevated lactate—the likelihood of small bowel perforation is very high.
    (1) True
    (2) False


Findings and Diagnosis

Findings

  • Chest Radiograph:
    Large-volume pneumoperitoneum. Reduced lung volumes with associated bibasilar atelectasis.

  • Abdominal and Pelvic CT:
    High-grade small bowel obstruction (maximum small bowel diameter = 4.3 cm; yellow arrow indicates the transition point in the pelvis) and large-volume pneumoperitoneum (orange arrows: air outlining the falciform ligament and triangular air pockets between bowel loops), suggestive of small bowel perforation.

Differential Diagnosis

  • Pneumoperitoneum

  • Pneumoretroperitoneum

  • Pneumomediastinum

  • Pseudopneumoperitoneum

  • Benign post-traumatic pseudopneumoperitoneum

  • Postoperative free intraperitoneal gas

  • Chilaiditi syndrome

Diagnosis: Pneumoperitoneum


Discussion
Pneumoperitoneum

Pathophysiology and Epidemiology

  1. The most critical cause of pneumoperitoneum is a full-thickness perforation or laceration of the bowel wall.

  2. Its incidence varies depending on the underlying cause.

  3. Major etiologies include:

  • Iatrogenic causes (e.g., endoscopy, electrocautery during surgery)

  • Trauma (blunt or penetrating abdominal injuries)

  • Severe bowel obstruction: hernia, volvulus, adhesions, intraluminal causes, tumors

  • Neoplasms (especially colorectal carcinoma)

  • Ulcers: peptic ulcers, marginal ulcers, corrosive ingestion

  • Inflammatory causes: appendicitis, diverticulitis, inflammatory bowel disease, necrotizing enterocolitis, ischemic colitis

  • Infectious causes: tuberculosis, typhoid fever, schistosomiasis, cytomegalovirus (especially in immunocompromised patients)

  • Functional obstruction, such as Ogilvie syndrome

Clinical Presentation

  1. Acute abdominal pain

  2. Nausea and vomiting

  3. Aversion to oral intake

  4. Signs of peritonitis:
     - Guarding
     - Abdominal rigidity
     - Rebound tenderness

Imaging Findings

  • Chest Radiograph: Free intraperitoneal air is visible beneath the diaphragm on upright chest films.

  • Abdominal Radiograph: Multiple signs may be observed, including the falciform ligament sign, increased lucency over the liver, air outlining both sides of the bowel wall (Rigler sign), and radiolucent triangular gas collections between loops of bowel or between the bowel and abdominal wall.

  • Abdominal CT: Non-dependent air may outline the falciform ligament. Triangular-shaped air collections can also be seen between bowel loops and the abdominal wall.

Treatment

  • Emergency surgical exploration is indicated when a bowel perforation is suspected.

  • Management should also address the underlying cause. For example, in suspected small bowel obstruction, nasogastric decompression may be performed.


References

  1. Chan SY, Kirsch CM, Jensen WA, Sherck J. Tension pneumoperitoneum. West J Med. 1996;165(1–2):61–64.

  2. Kasznia-Brown J, Cook C. Radiological signs of pneumoperitoneum: A pictorial review. Br J Hosp Med (Lond). 2006;67(12):634–639.

  3. Nassour I, Fang SH. Gastrointestinal perforation. JAMA Surg. 2015;150(2):177–178.

Comments

Popular posts from this blog

Understanding Tubal Ligation Clips: Imaging, Risks, Migration, and Management

The Lethal Lens: Mastering the Diagnosis and Management of Epidural Hemorrhage (EDH)

Teres Minor Atrophy: Causes, Imaging, and Clinical Implications