Plunging ranula
Plunging ranula
A plunging ranula is a type of mucous cyst that forms when a sublingual gland duct becomes obstructed or ruptured, allowing mucous to leak into the surrounding tissue. Unlike a typical ranula (which is confined to the floor of the mouth), a plunging ranula extends into the submandibular space and may present as a swelling in the neck. It is a type of cervical ranula that forms due to a ruptured duct or gland, spilling mucus into the deeper tissues.
1. Cause and Etiology
The main cause of a plunging ranula is the obstruction of
the sublingual
gland duct, often due to:
·
Trauma: Injury to
the mouth or sublingual gland can cause rupture or obstruction of the gland's
duct.
·
Salivary gland stones (sialolithiasis): A stone in the duct may block the flow of saliva, leading to mucus
accumulation and cyst formation.
·
Infection: A
secondary bacterial infection can exacerbate or cause the duct to rupture.
·
Congenital abnormalities: Some individuals may have malformations in the ducts or gland
tissue that predispose them to ranulas.
In a plunging ranula, the mucous-filled cyst, rather than
staying confined to the floor of the mouth (as in a typical ranula), extends downward
through the mylohyoid muscle into the neck (submandibular space).
2. Pathophysiology
·
Obstruction of Duct: When the duct of the sublingual gland becomes obstructed
(due to trauma, stones, or infection), mucus from the gland accumulates within
the gland itself.
·
Cyst Formation: As
the mucus continues to accumulate, a cyst-like structure (the ranula) forms. In
a plunging ranula, this cyst ruptures through the mylohyoid muscle (a muscle
that separates the floor of the mouth from the neck), allowing the mucus to
escape into the submandibular
space or deeper tissues of the neck.
·
Extending into Neck: The mucus-filled cyst can cause a visible, painless swelling in
the cervical area
(neck), often just below the jawline or beneath the chin. The fluid-filled
nature of the cyst gives it a soft consistency.
3. Epidemiology
·
Incidence:
Plunging ranulas are relatively rare, but they account for approximately 10-15% of all
ranulas.
·
Age: Plunging
ranulas can occur at any age, but they are more commonly seen in young adults or
children. They may also occur in adults who have suffered trauma to the mouth
or salivary glands.
·
Sex Distribution:
There is a slight male predominance, although both sexes can be affected.
· Location: The most commonly involved gland is the sublingual gland, which is located beneath the tongue and is responsible for producing saliva.
4. Clinical Presentation
The clinical features of a plunging ranula depend on the size
of the cyst and the extent to which it has extended into the neck.
·
Painless Swelling:
The hallmark of a plunging ranula is a soft, fluctuant swelling that can be
palpated beneath the jawline or in the submandibular region of the neck.
·
Neck Mass: The
cyst typically presents as a painless, cervical mass that may vary in size.
The swelling may increase or decrease in size depending on the amount of mucus
accumulated.
·
Floor of the Mouth Mass: In some cases, a small mass may also be present in the floor of the mouth
(the typical ranula), though the main focus is the neck.
·
Swelling Fluctuates: The swelling may fluctuate in size over time as the mucus cyst
increases or decreases in size.
·
Possible Discomfort: While the swelling is typically painless, patients may experience
discomfort if the cyst becomes large or infected.
·
Difficulty Swallowing or Speaking: If the cyst becomes large enough, it can cause difficulty swallowing
or speaking due to compression of the surrounding structures.
5. Imaging Features
Several imaging techniques can help diagnose a plunging
ranula and assess its size and location:
· Ultrasound: The first-line imaging modality. A plunging ranula typically appears as a well-defined anechoic (dark) or hypoechoic (light gray) cystic lesion. The fluid content is typically homogenous, and the cyst may be located in the submandibular space.
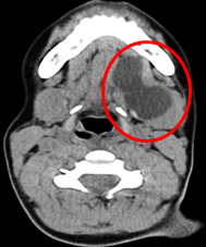
· Computed Tomography (CT): CT imaging can be used to evaluate the exact location and extent of the cyst, especially in cases where there is concern for deeper tissue involvement or compression of other structures. The cyst appears as a low-density, fluid-filled structure.
·
Magnetic Resonance Imaging (MRI): MRI is excellent for evaluating soft tissue masses. A ranula appears
as a well-defined,
cystic lesion with high signal intensity on T2-weighted images,
which reflects its fluid-filled nature. MRI can also show whether the cyst has
extended through the mylohyoid muscle into the neck.
·
Sialography: This
is a specialized technique to visualize the ductal system of the salivary
glands. It can help identify ductal obstruction or rupture in the sublingual
gland.
6.
Treatment
The management of a plunging ranula depends on the
severity of symptoms, the size of the cyst, and the degree of involvement of
surrounding tissues:
·
Conservative Management: Small, asymptomatic plunging ranulas may be monitored over time.
If the cyst does not cause significant symptoms or complications, it may not
require immediate intervention.
·
Aspiration: In
some cases, a needle aspiration can be performed to remove the mucous contents
of the cyst. However, this is often a temporary solution as the cyst may refill
over time.
·
Marsupialization:
This is a procedure where the cyst is surgically opened and its contents are
drained. The edges of the cyst are sutured to the surrounding tissue, allowing
the cyst to drain continuously. This procedure helps prevent recurrence.
·
Surgical Excision:
The definitive treatment for plunging ranulas is surgical removal of the cyst
along with the sublingual
gland (or the affected portion of it) to prevent
recurrence. Surgical excision is typically recommended for larger or recurrent
cysts.
o
Incision and Drainage: In cases of infection or abscess formation, incision and drainage
may be performed to relieve pressure and remove infected material.
·
Sialendoscopy: In
cases where the obstruction is due to a salivary stone, sialendoscopy (a
minimally invasive procedure to visualize and remove stones from the salivary
duct) may be performed.
7.
Prognosis
The prognosis for a plunging ranula is generally excellent
after appropriate treatment, but it depends on the management method:
·
Post-Surgical Prognosis: After surgical excision, the chances of recurrence are low, and
the patient can expect a full recovery.
·
Recurrence:
Without proper surgical removal of the cyst or gland, recurrence is
possible. Incomplete drainage or marsupialization may also lead to recurrence
if the underlying cause (e.g., ductal obstruction) is not addressed.
·
Complications: If
left untreated, plunging ranulas can cause complications such as infection, abscess formation,
or compression of nearby structures. In rare cases, large cysts can affect the
function of the submandibular gland or cause difficulty with swallowing and
speaking.
Conclusion
A plunging ranula is a mucous cyst that extends from the floor of the mouth into the neck due to a rupture or obstruction of the sublingual gland duct. While it is often painless, it can cause significant discomfort and functional issues if left untreated. Diagnosis is usually confirmed with imaging, and treatment typically involves surgical excision of the cyst and affected gland to prevent recurrence. When managed appropriately, the prognosis is excellent, with a low risk of recurrence or long-term complications.




Comments
Post a Comment