Pituitary adenoma

 

Pituitary adenoma

pituitary adenoma is a benign tumor that arises from the pituitary gland, which is located at the base of the brain. These tumors can cause a variety of symptoms due to their impact on hormone secretion or their effect on surrounding structures.

1. Cause and Etiology

  • Genetic Mutations: Pituitary adenomas often result from genetic mutations that cause uncontrolled cell growth in the pituitary gland. These mutations are frequently associated with tumor suppressor genes and oncogenes.
  • Sporadic vs. Inherited: Most pituitary adenomas are sporadic (not inherited), but there are familial forms. Genetic syndromes like Multiple Endocrine Neoplasia type 1 (MEN1)Carney Complex, and McCune-Albright Syndrome can predispose individuals to develop pituitary adenomas.
  • Hormonal Stimulation: Certain hormones, like growth hormone (GH)prolactin, or ACTH, can sometimes drive the formation of adenomas, especially if there's abnormal regulation of these hormones.

2. Pathophysiology

  • Tumor Growth: The adenoma grows from the pituitary cells, and depending on the type of cells involved, different hormones may be overproduced.
    • Non-functional Adenomas: These tumors do not secrete hormones but may cause symptoms through mass effect (pressure on surrounding structures).
    • Functional Adenomas: These tumors secrete hormones, leading to various clinical syndromes (e.g., acromegaly from excess GH, Cushing's disease from excess ACTH, hyperprolactinemia).
  • Mass Effect: Larger tumors can exert pressure on surrounding structures, especially the optic chiasm, leading to visual disturbances (e.g., bitemporal hemianopia).

3. Epidemiology

  • Incidence: Pituitary adenomas are the third most common type of primary brain tumor, with an estimated incidence of 3.2 per 100,000 people annually.
  • Age and Gender: They can occur at any age but are most commonly diagnosed in adults between the ages of 30 and 50. There is no significant gender predilection for non-functional adenomas, but prolactin-secreting adenomas are more common in women.
  • Prevalence: Autopsy studies suggest a higher prevalence of pituitary adenomas (approximately 16-20%) in the general population, many of which are asymptomatic.

4. Clinical Presentation

The clinical presentation of a pituitary adenoma can be highly variable depending on its size, location, and hormonal activity.

  • Non-functional Adenomas (NFAs): These tumors typically present with symptoms related to mass effect:
    • Headaches: Due to increased intracranial pressure.
    • Visual Changes: Especially bitemporal hemianopia due to compression of the optic chiasm.
    • Hypopituitarism: Decreased secretion of pituitary hormones (e.g., thyroid, adrenal, gonadal) due to compression of the normal pituitary gland.
  • Functional Adenomas: Symptoms are related to hormone overproduction.
    • Prolactin-Secreting Adenomas (Prolactinomas): Can cause galactorrhea, menstrual irregularities in women, and decreased libido, infertility, and impotence in men.
    • Growth Hormone-Secreting Adenomas (Somatotroph Adenomas): Cause acromegaly in adults (enlargement of hands, feet, and facial features) or gigantism in children.
    • ACTH-Secreting Adenomas: Lead to Cushing's disease, with symptoms including weight gain, central obesity, purple striae, hypertension, and osteoporosis.
    • Thyrotroph Adenomas: Rare and result in hyperthyroidism symptoms like palpitations, weight loss, and heat intolerance.

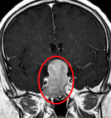
5. Imaging Features

  • MRI (Magnetic Resonance Imaging): The primary imaging modality for pituitary adenomas.
    • Microadenomas: Lesions less than 10mm in size, often visible on MRI.
    • Macroadenomas: Larger tumors (greater than 10mm) that may extend into the cavernous sinus, causing compression of surrounding structures.
    • Contrast Enhancement: Pituitary adenomas generally enhance with contrast due to their vascularity, though non-functional tumors may show less enhancement.
  • CT Scans: Less sensitive than MRI, but they can show bony changes (erosion of the sella turcica) in larger tumors.
  • Visual Field Testing: Used to assess bitemporal hemianopia in patients with large tumors compressing the optic chiasm. recurrence or complications. 

6. Treatment

Treatment depends on the size, type, and hormonal activity of the adenoma.

  • Surgical Treatment:
    • Transsphenoidal Surgery: The most common approach for pituitary adenomas. The tumor is accessed through the nasal cavity and sphenoid sinus.
    • Craniotomy: Rarely needed unless the tumor is large and not accessible via the transsphenoidal route.
  • Medical Treatment:
    • Dopamine Agonists (for Prolactinomas): Medications like bromocriptine or cabergoline can reduce prolactin secretion and shrink the tumor.
    • Somatostatin Analogs (for GH-secreting Adenomas): Medications like octreotide or lanreotide help control growth hormone levels.
    • Corticosteroid Receptor Antagonists (for ACTH-secreting Adenomas): Drugs like pasireotide may be used to control cortisol levels in patients with Cushing’s disease.
  • Radiation Therapy: Reserved for cases where surgery is not feasible, or the tumor persists or recurs after surgery. Stereotactic radiosurgery (e.g., Gamma Knife) may be used for localized, residual tumors.

7. Prognosis

  • Overall Prognosis: The prognosis for pituitary adenomas is generally good, particularly for non-functional tumors that are asymptomatic or small. Functional tumors (especially prolactinomas) can often be well-controlled with medical treatment.
  • Recurrence: Even after successful surgery, pituitary adenomas can recur, especially in larger tumors or those with invasive characteristics.
  • Long-term Outlook: Complications can arise if hormone imbalances are not corrected, leading to osteoporosis, cardiovascular problems, or infertility. Regular monitoring with hormonal assessments and imaging is essential to detect recurrence early.

Summary

Pituitary adenomas are common benign tumors that can have a broad clinical presentation, ranging from hormone imbalances to mass effect symptoms. Early diagnosis through imaging and hormonal testing is essential for appropriate treatment, which may include surgery, medication, or radiation. Proper management makes the prognosis generally favorable, although long-term follow-up is important to detect recurrence or complications. 

Comments

Popular posts from this blog

Understanding Tubal Ligation Clips: Imaging, Risks, Migration, and Management

The Lethal Lens: Mastering the Diagnosis and Management of Epidural Hemorrhage (EDH)

Teres Minor Atrophy: Causes, Imaging, and Clinical Implications