Pediatric Cerebral Palsy (CP)

 Pediatric Cerebral Palsy (CP)

1. Cause and Etiology

Cerebral Palsy (CP) is a group of permanent, non-progressive neurological disorders caused by abnormal brain development or damage to the developing brain. These disorders lead to motor dysfunction and are often associated with impairments.

Etiology

CP can arise from multiple etiological factors, which are broadly classified into:

a) Prenatal Causes (~70–80% of cases)

  • Periventricular leukomalacia (PVL): White matter injury due to hypoxia-ischemia.
  • Congenital brain malformations: Lissencephaly, polymicrogyria, etc.
  • Intrauterine infections: Cytomegalovirus, toxoplasmosis, rubella.
  • Maternal risk factors: Preeclampsia, diabetes, thyroid dysfunction, substance use.

b) Perinatal Causes

  • Birth asphyxia/hypoxic-ischemic encephalopathy (HIE)
  • Preterm birth (especially <32 weeks of gestation)
  • Low birth weight (<2,500 g)
  • Neonatal stroke
  • Prolonged labor or abnormal presentation

c) Postnatal Causes

  • Severe neonatal jaundice (kernicterus)
  • Traumatic brain injury
  • CNS infections (e.g., meningitis, encephalitis)
  • Seizures or metabolic disorders in infancy

Most cases of CP are due to events before or around birth, rather than later acquired insults.


2. Pathophysiology

CP results from non-progressive brain injury or abnormal development that impairs motor control centers, particularly within:

  • Cerebral cortex
  • Basal ganglia
  • Cerebellum
  • Periventricular white matter

Major Pathological Mechanisms:

  • Ischemic/hypoxic injury: Especially in preterm infants.
  • Inflammation and oxidative stress are triggered by maternal infections or neonatal complications.
  • Abnormal neuronal migration or proliferation during fetal development.

These events cause disruption of corticospinal tract development, leading to:

  • Muscle tone abnormalities (spasticity, hypotonia)
  • Impaired motor coordination and control
  • Abnormal reflex patterns

3. Epidemiology

Parameter

Value

Global prevalence

~2 to 3 per 1,000 live births

Higher in preterm infants

~40–100 per 1,000 very low birth weight (VLBW) infants

Male-to-female ratio

~1.3:1

Incidence in high-income countries

~1.5–2 per 1,000 live births

Incidence in low-resource settings

Higher due to limited prenatal care


4. Clinical Presentation

The clinical picture varies significantly depending on the type, severity, and distribution of brain injury.

Motor Symptoms (Core Features):

  • Abnormal muscle tone: Spasticity (↑ tone), hypotonia (↓ tone)
  • Delayed motor milestones
  • Abnormal postures and reflexes
  • Movement disorders: Dystonia, chorea, athetosis, ataxia

Associated Impairments (common in moderate to severe cases):

  • Intellectual disability (~30–50%)
  • Speech and language disorders
  • Seizures (~25–45%)
  • Hearing or vision impairment
  • Feeding/swallowing difficulties
  • Behavioral and emotional disorders

5. Classification of CP

By Movement Type:

Type

Features

Spastic CP

Most common (~70–80%); stiff, jerky movements

Dyskinetic CP

Involuntary movements (dystonia, choreoathetosis)

Ataxic CP

Poor balance and coordination

Mixed CP

Combination of types (e.g., spastic + dyskinetic)

By Topography:

  • Hemiplegia: One side of the body affected
  • Diplegia: Mainly lower limbs
  • Quadriplegia: All four limbs involved

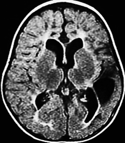
6. Imaging Features

Neuroimaging is essential for diagnosis, particularly in unclear cases or when determining etiology.

MRI (preferred modality):


  • Periventricular leukomalacia (PVL): Seen in preterm infants; indicates white matter damage.
  • Cerebral atrophy
  • Delayed myelination
  • Basal ganglia injury: Especially in term infants with HIE.
  • Congenital malformations: e.g., schizencephaly, lissencephaly.

CT Scan:


  • May detect calcifications or hemorrhages, but is less sensitive than MRI for white matter injury.

MRI findings correlate with motor and cognitive outcomes.


7. Treatment and Management

There is no cure for CP, but early, multidisciplinary intervention significantly improves outcomes.

Multimodal Approach:

  1. Physical therapy – Improves strength, flexibility, and motor skills.
  2. Occupational therapy – Enhances functional independence (e.g., dressing, feeding).
  3. Speech and language therapy – For communication and feeding/swallowing difficulties.
  4. Orthopedic interventions – For joint contractures, scoliosis, hip dislocations.
  5. Pharmacotherapy:
    • Oral medications: Baclofen, diazepam, tizanidine for spasticity
    • Botulinum toxin injections: For focal muscle overactivity
    • Antiepileptics: If seizures are present
  6. Surgical options:
    • Selective dorsal rhizotomy (SDR) for severe spasticity
    • Orthopedic surgeries: Tendon lengthening, osteotomy
  7. Assistive technologies:
    • Wheelchairs, walkers, communication devices
  8. Educational and psychosocial support:
    • Inclusive education, behavioral therapy, and caregiver support

8. Prognosis

The outcome depends on type, severity, comorbidities, and timeliness of intervention.

Favorable Prognostic Indicators:

  • Milder motor involvement
  • No intellectual disability
  • Ambulation by age 2

Less Favorable:

  • Severe spastic quadriplegia
  • Severe intellectual disability
  • Persistent epilepsy

Life Expectancy:

  • Normal or near-normal in mild CP
  • Reduced in severe CP with multiple comorbidities

Early intervention, family education, and comprehensive care can drastically improve functional independence and quality of life.


Summary Table

Category

Details

Cause

Prenatal/perinatal/postnatal brain injury or abnormal development

Pathophysiology

Non-progressive injury affecting motor control centers

Epidemiology

2–3/1,000 live births; higher in preterm infants

Symptoms

Spasticity, delayed milestones, abnormal movement, and associated impairments

Imaging

MRI shows PVL, atrophy, basal ganglia lesions, and malformations

Treatment

Multidisciplinary rehab, medication for spasticity, and surgery for deformities

Prognosis

Highly variable; better with early therapy and mild forms

 


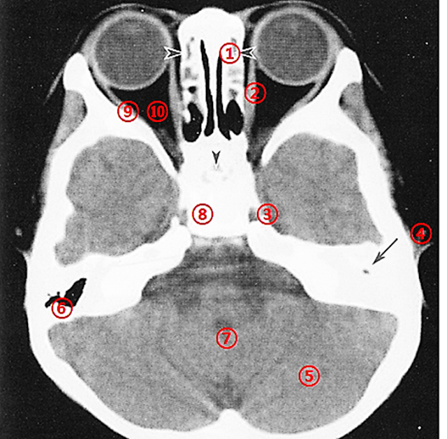
Axial CT Slice Through the Central Orbit

Normal Image



Image of a 4-Year-Old Male with Developmental Delay




Findings:

  • Underdevelopment of the left mastoid air cells (Lt mastoid air cell) is observed, and the mastoid antrum shows soft tissue density rather than air.
  • These findings are suspicious for chronic otitis media.
  • The sphenoethmoidal sinus is undeveloped.
  • A white appearance of the mastoid air cells on CT can be due either to poor development (chronic otitis media) or retention of fluid or secretions (acute otitis media).
  • Bone window settings—achieved by increasing the window width and raising the window level—are useful for distinguishing between these two scenarios.

Advantages of CT Bone Settings:

Compared to traditional bone imaging techniques, CT bone window settings offer the following advantages:

  1. Precision: CT provides detailed visualization of bony structures, enabling accurate planning and execution of realignment procedures.
  2. Customization: Virtual reconstruction allows for treatment plans tailored to each patient’s unique anatomy and injury pattern.
  3. Minimally Invasive: In some cases, CT-guided bone procedures allow for less invasive interventions, resulting in shorter recovery times and reduced risk of complications.

CT Terms: Window Level (WL) and Window Width (WW)

These terms refer to image processing parameters used in CT to optimize the visibility of specific tissues or structures in the scanned area.

Window Level (WL):

  • Determines the center value of the gray scale range displayed in the image.
  • Controls image brightness: increasing WL makes the image brighter, decreasing WL makes it darker.
  • It’s adjusted to highlight specific tissues:
    • Higher WL for bone
    • Lower WL for soft tissues

Window Width (WW):

  • Determines the range of CT values (in Hounsfield units) displayed as shades of gray.
  • Controls image contrast:
    • Wider WW = greater contrast (better distinction between different tissues)
    • Narrower WW = less contrast, but better visualization of subtle differences in similar-density tissues

For example:

  • A wide WW enhances contrast between bone and soft tissue
  • A narrow WW is better for distinguishing subtle soft tissue density variations

Discussion: Pediatric Cerebral Palsy (CP)

Cerebral Palsy (CP) is a movement and muscle control disorder caused by brain injury that occurs at birth or during early infancy.

Due to abnormal brain development or brain injury, children with CP may experience difficulties with:

  • Postural control
  • Muscle tone regulation
  • Balance
  • Voluntary movement

Causes of CP:

1. Prenatal or Perinatal Brain Injury:

  • Damage may occur in the fetal period or during childbirth.
  • Causes include trauma, oxygen deprivation, or stimulation-related injury.

2. Postnatal Brain Injury:

  • Injury after birth from trauma, infection, or illness may disrupt normal brain development and function, increasing the risk of CP.

Symptoms of CP-Related Motor Impairment:

  • Spasticity (muscle stiffness)
  • Reduced muscle strength
  • Postural instability
  • Impaired coordination
  • Gait abnormalities
  • Fine motor difficulties (e.g., hand use issues)

These motor impairments can affect daily life and functional independence.


Management and Rehabilitation:

Although CP has no cure, comprehensive therapy can significantly improve function:

  • Physical therapy
  • Occupational therapy
  • Speech therapy
  • Use of assistive devices

Each treatment plan should be personalized to the patient's condition and needs.

Comments

Popular posts from this blog

Understanding Tubal Ligation Clips: Imaging, Risks, Migration, and Management

The Lethal Lens: Mastering the Diagnosis and Management of Epidural Hemorrhage (EDH)

Teres Minor Atrophy: Causes, Imaging, and Clinical Implications