Branchial cleft cyst

 Branchial cleft cyst

A branchial cleft cyst is a congenital lesion that arises from the branchial arches during embryonic development. It typically manifests as a soft, painless mass in the neck.


Cause & Etiology:

Branchial cleft cysts develop as a result of incomplete closure or involution of the branchial apparatus (a structure involved in the development of the neck and associated structures). The branchial apparatus is composed of branchial arches, clefts, pouches, and membranes.

The cysts arise from:

  • 1st Branchial Cleft: The most common origin, leading to cysts located near the angle of the mandible.
  • 2nd Branchial Cleft: The most frequent site for branchial cleft cysts (around the anterior border of the sternocleidomastoid muscle).
  • 3rd and 4th Branchial Clefts: Rare, but these cysts can be located in deeper neck structures, possibly around the thyroid or near the trachea.

The cause of incomplete closure is typically unknown but can be linked to genetic factors or disturbances during fetal development.


Pathophysiology:

The branchial cleft cyst forms when remnants of the branchial cleft fail to fully regress during fetal development. Instead of being reabsorbed or incorporated into the surrounding tissues, the remnants become fluid-filled cystic structures. These cysts remain as isolated, epithelial-lined spaces that may or may not become infected.

The cyst is usually filled with clear or serous fluid, and its lining consists of squamous or columnar epithelium. Infection can cause enlargement, pain, and potential rupture.


Epidemiology:

  • Incidence: These cysts are rare, accounting for about 20% of all congenital neck masses.
  • Age of Presentation: Most commonly, branchial cleft cysts are diagnosed in children or young adults, often presenting between the ages of 2-4 years.
  • Sex: There is no significant difference in the incidence between males and females.
  • Laterality: Affected individuals often present with cysts on one side, though bilateral cases can occur, particularly with the 2nd branchial cleft cyst.

Clinical Presentation:

  • Neck Mass: The most common presenting symptom is a painless, firm, smooth mass in the neck, often along the anterior or lateral aspect of the sternocleidomastoid muscle (SCM).
  • Size: It can vary in size and may fluctuate over time, particularly with infection.
  • Infection: When infected, the cyst may become tender, red, and warm to the touch. There may also be drainage of pus or serous fluid.
  • Symptoms of Inflammation: Fever, local erythema, and swelling may accompany infection.
  • Difficulty Swallowing: Rarely, the cyst can cause difficulty swallowing if it presses on the esophagus or other structures.
Asymptomatic in Some: In many cases, especially if not infected, patients may be asymptomatic, and the cyst is discovered incidentally.

Imaging Features:

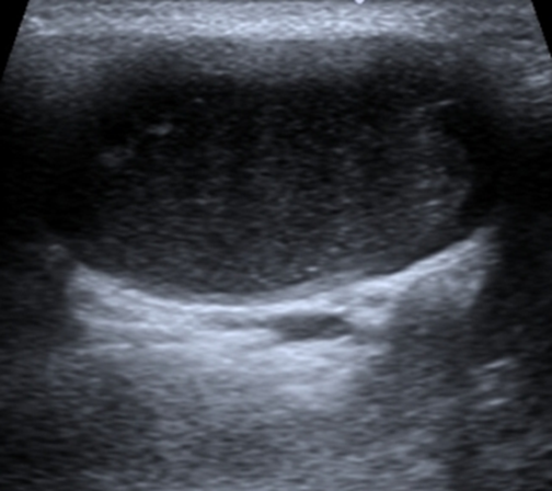
  • Ultrasound: Commonly used as an initial imaging technique to distinguish cystic masses from solid masses. It shows a well-defined, anechoic (fluid-filled) structure with regular borders.


  • CT Scan: More detailed imaging for larger cysts or when complications are suspected. It shows a smooth, fluid-filled lesion with minimal enhancement if non-infected.

  • MRI: Particularly helpful for evaluating the cyst's relationship to surrounding structures and for determining the exact origin of the cyst. A branchial cleft cyst typically appears as a well-defined, round or oval mass, with homogenous fluid signal.


  • Contrast Enhanced Imaging: May show enhancement if the cyst is infected or inflamed.



Treatment:

The mainstay of treatment for a branchial cleft cyst is surgical excision. The goals are to:

  1. Remove the cyst completely to prevent recurrence.
  2. Avoid injury to surrounding vital structures such as nerves (e.g., facial nerve, vagus nerve), blood vessels, and muscles.

Specific Treatment Considerations:

  • Infection: If the cyst becomes infected, it is usually managed with antibiotics first. If the infection does not resolve or if the cyst is severely infected, surgical drainage or excision may be required.
  • Non-Infected Cysts: These are typically excised electively, especially if they cause cosmetic concerns or are growing in size.

Prognosis:

  • Post-Surgical Outcome: If fully excised, the prognosis is excellent, with a very low recurrence rate.
  • Infection Complications: If the cyst becomes infected and drainage or excision is delayed, there could be an increased risk of recurrence or complications such as abscess formation or fistula development.
  • Recurrence: Recurrence can occur if the cyst is incompletely excised or if there are remnants left behind.

Key Points:

  • Branchial cleft cysts are typically congenital and are most commonly found along the 2nd branchial arch.
  • Surgical excision is the definitive treatment, with a good prognosis if complete removal is achieved.
  • Early identification and appropriate management can prevent complications like infection or recurrence.

Comments

Popular posts from this blog

Understanding Tubal Ligation Clips: Imaging, Risks, Migration, and Management

The Lethal Lens: Mastering the Diagnosis and Management of Epidural Hemorrhage (EDH)

Teres Minor Atrophy: Causes, Imaging, and Clinical Implications