Arachnoid Cysts-Cause and Etiology

Arachnoid Cysts

1. Cause and Etiology

Arachnoid cysts are cerebrospinal fluid (CSF)-filled sacs that occur within the arachnoid membrane, which is one of the three meningeal layers that surround the brain and spinal cord. The etiology is broadly categorized into:

A. Primary (Congenital) Arachnoid Cysts

·         These are by far the most common type.

·         Result from developmental abnormalities during embryogenesis, especially between the 3rd and 4th months of gestation.

·         It is thought to be caused by splitting or duplication of the arachnoid membrane, leading to a CSF-filled pocket.

B. Secondary (Acquired) Arachnoid Cysts

·         Less common.

·         Typically result from:

o    Head trauma

o    Infections (e.g., meningitis)

o    Intracranial hemorrhage

o    Surgical complications

o    Neurosurgical interventions


2. Pathophysiology

·         Arachnoid cysts are lined by flattened arachnoid cells or mesothelial-like cells and contain CSF or CSF-like fluid.

·         They are not in communication with the ventricular system, although some may develop secondary communication over time.

·         The exact mechanism of cyst enlargement is not fully understood, but proposed mechanisms include:

o    Active fluid secretion by the cyst wall.

o    Osmotic gradient draws fluid into the cyst.

o    One-way ball-valve mechanism allowing CSF to enter but not exit.

These cysts may cause mass effect on adjacent brain tissue, leading to neurological symptoms depending on size and location.


3. Epidemiology

·         Estimated prevalence: ~1-2% in the general population.

·         Often detected incidentally during neuroimaging for unrelated reasons.

·         Male predominance (~2:1).

·         Congenital cysts are more common in children and young adults, while acquired cysts may present at any age.

·         Most common locations:

o    Middle cranial fossa (especially left side)

o    Cerebellopontine angle (CPA)

o    Suprasellar region

o    Quadrigeminal cistern

o    Convexities and spinal canal


4. Clinical Presentation

Most arachnoid cysts are asymptomatic. When symptomatic, clinical features are determined by the cyst’s location, size, and effect on surrounding structures:

Neurological Symptoms

·         Headache (most common symptom)

·         Nausea and vomiting (due to increased intracranial pressure)

·         Seizures

·         Cranial nerve deficits (if compressing cranial nerve pathways)

·         Hydrocephalus (if CSF flow is obstructed)

·         Developmental delay or behavioral changes in children

·         Ataxia, hemiparesis, or other focal neurological deficits

Spinal Arachnoid Cysts (rare)

·         Present with radiculopathy, myelopathy, or progressive motor weakness.


5. Imaging Features

A. CT Scan


·         Well-defined, hypodense (low attenuation) lesion.

·         Non-enhancing.

·         No calcification or hemorrhage (unless complicated).

·         Adjacent bony remodeling or thinning may be seen due to chronic pressure.

B. MRI (Modality of choice)


·         T1-weighted: Hypointense (same as CSF)

·         T2-weighted: Hyperintense (same as CSF)

·         FLAIR: Signal suppressed (helps differentiate from epidermoid cysts, which are not suppressed)

·         DWI: No restricted diffusion (unlike epidermoid cysts)

·         No enhancement after contrast administration.

C. Cine MRI (CSF Flow Study)

·         May show absence of communication with the subarachnoid space.

D. Differential Diagnosis

·         Epidermoid cyst

·         Porencephalic cyst

·         Neuroglial cyst

·         Cystic tumors (e.g., pilocytic astrocytoma)

·         Hydrocephalus ex vacuo


6. Treatment

Treatment decisions depend on symptoms, size, growth, and complications such as hydrocephalus.

A. Conservative Management

·         Indicated for asymptomatic or minimally symptomatic cases.

·         Includes serial imaging (MRI) to monitor cyst growth or structural changes.

B. Surgical Management

Indicated for:

·         Progressive symptoms

·         Neurological deterioration

·         Raised intracranial pressure

·         Mass effect or hydrocephalus

Surgical options:

1.    Microsurgical or Endoscopic Fenestration

o    Create a window between the cyst and the adjacent subarachnoid space or ventricle.

o    Preferred in cysts with an accessible anatomic location.

2.    Cystoperitoneal Shunting

o    Drainage of cyst contents into the peritoneal cavity using a catheter and valve system.

o    Reserved for inaccessible or recurrent cysts.

3.    Complete Excision

o    Rare; only in cases where total removal is feasible and safe.

4.    Spinal Cysts

o    Laminectomy and cyst fenestration/excision.


7. Prognosis

·         Generally excellent in asymptomatic cases.

·         Surgical outcomes are good, especially for accessible cysts with clear indications.

·         Recurrence may occur, especially with incomplete fenestration.

·         Rare complications:

o    Hemorrhage into a cyst

o    Cyst rupture

o    Infection (after surgical intervention)

Long-term monitoring is recommended post-surgery for recurrence or new symptom development.


Summary Table

Category

Details

Cause

Congenital (common), Acquired (trauma, infection, hemorrhage)

Pathophysiology

CSF-filled cyst between arachnoid layers; mass effect; fluid accumulation mechanisms

Epidemiology

1–2% prevalence; male predominance; mostly incidental

Clinical Features

Headache, seizures, hydrocephalus, neurological deficits

Imaging

Hypodense on CT; CSF-like signal on MRI; no enhancement

Treatment

Observation vs. surgical fenestration or shunting

Prognosis

Good with or without surgery; recurrence is possible post-op



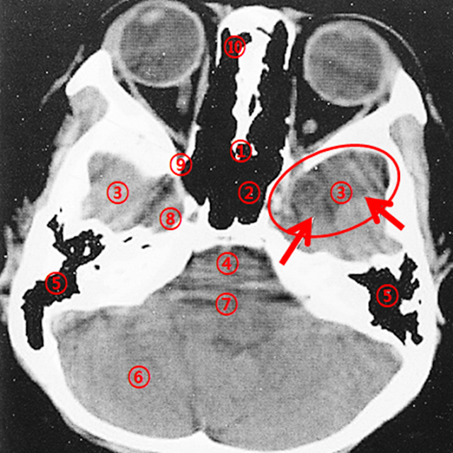
Axial Section Passing Through the Petrous Part of the Temporal Bone

Case: A 10-year-old male with a well-defined Low Density Area (LDA) observed in the left middle cranial fossa.

Normal Scan


Cerebral Palsy




Comparison Scan

A well-defined low-density area (LDA) is noted in the left middle cranial fossa (red arrow). The sphenoid bone appears slightly thinned. These findings are suggestive of an arachnoid cyst, which commonly occurs in the middle cranial fossa. Although chronic infarction or contusion may be considered as differential diagnoses, the thinning of the adjacent bone increases the likelihood of an arachnoid cyst. Bone setting views can provide additional diagnostic value.

 


Discussion: Arachnoid Cysts

An arachnoid cyst is a cerebrospinal fluid (CSF)-filled sac that develops between the layers of the arachnoid membrane, one of the three meninges that surround the brain and spinal cord. These cysts are most commonly congenital, meaning they are present at birth and usually arise due to developmental abnormalities during fetal growth. However, they may also be acquired later in life as a result of head trauma, infection, or intracranial hemorrhage.

Arachnoid cysts are typically benign and often asymptomatic, frequently discovered incidentally during neuroimaging performed for unrelated reasons. Nonetheless, in some cases, particularly when the cyst enlarges or exerts pressure on adjacent brain structures, they may lead to symptoms or complications. Common symptoms associated with arachnoid cysts include:

  • Headaches: Persistent headaches, especially when intracranial pressure is elevated.
  • Nausea and Vomiting: Possibly due to increased intracranial pressure.
  • Seizures: Arachnoid cysts may disrupt normal brain function, resulting in seizures.
  • Hydrocephalus: In some instances, the cyst may obstruct CSF flow, causing hydrocephalus—a condition characterized by fluid accumulation in the cerebral ventricles.
  • Behavioral Changes: Particularly in children, irritability, mood swings, and other behavioral disturbances may be observed.
  • Motor or Sensory Deficits: Depending on the cyst’s location and size, compression of adjacent brain tissues may result in weakness, numbness, or other neurological deficits.

Treatment depends on factors such as cyst size and location, severity of symptoms, and the individual’s overall health status. In many cases, conservative management with regular imaging follow-up is sufficient, particularly if the cyst is asymptomatic or causes only mild symptoms. Surgical intervention may be indicated when the cyst is symptomatic or leads to complications such as hydrocephalus. Surgical options include:

  • Cyst Fenestration: Creating a small opening in the cyst wall to allow drainage of CSF into the subarachnoid space.
  • Cyst Shunting: Insertion of a catheter to divert fluid from the cyst to another body cavity, such as the peritoneal cavity.

It is essential for individuals with arachnoid cysts to receive comprehensive care from a neurologist or neurosurgeon, who can monitor the condition and recommend appropriate treatment strategies based on individual needs.


Case: A 4-year-old male with developmental delay

Poor development of the left mastoid air cells and the mastoid antrum demonstrates soft-tissue density instead of air (arrow). These findings raise suspicion of chronic otitis media.

The sphenoethmoidal sinus is underdeveloped (arrow). When mastoid air cells appear opaque on imaging, it may be due either to hypoplasia (as seen in chronic otitis media) or to fluid or secretions retention (as seen in acute otitis media).

Differentiation between these entities can be aided by utilizing bone setting views, which involve increasing the window width and raising the window level for enhanced bone visualization.


Advantages of CT Bone Setting

Compared to conventional techniques, CT bone setting offers several benefits:

  • Precision: CT imaging provides detailed visualization of bony structures, facilitating accurate planning and execution of reduction procedures.
  • Customization: Virtual reconstruction allows personalized treatment planning tailored to each patient’s unique anatomy and injury pattern.
  • Minimally Invasive Approach: In some cases, the use of CT-guided techniques enables less invasive procedures compared to traditional surgeries, potentially reducing recovery time and complication risks.

CT Imaging Parameters: Window Level and Window Width

In CT imaging, the terms "window level" (WL) and "window width" (WW) refer to image processing parameters used to optimize the visualization of specific tissues or structures within the scanned region.

  • Window Level (WL): Determines the center value of the gray scale range displayed in the image. It primarily adjusts the brightness of the image. Higher WL values make the image appear brighter, while lower values darken the image. For example, a higher WL is typically used for bone imaging, whereas lower WL values enhance the visibility of soft tissues.
  • Window Width (WW): Defines the range of CT values mapped onto the gray scale, thereby controlling contrast. A wide WW displays a broader range of CT numbers, improving contrast between different tissue types. Conversely, a narrow WW enhances the visibility of subtle density differences within soft tissues but reduces overall contrast.

Adjusting WL and WW helps optimize CT interpretation for various anatomical targets such as bone, soft tissue, or air-filled cavities.


Discussion: Cerebral Palsy in Children

Cerebral Palsy (CP) is a movement and posture disorder resulting from non-progressive brain damage or abnormal brain development that occurs before birth, during birth, or in early infancy. CP affects muscle control, coordination, balance, and overall motor skills.

Causes of CP:

  • Prenatal or Perinatal Brain Injury: Brain damage during fetal development or delivery may result from trauma, oxygen deprivation, or other stressors.
  • Postnatal Brain Injury: Injury due to accidents, infections, or other causes during infancy can affect brain development and increase the risk of CP.

CP manifests with varying severity and types, depending on the extent and location of brain injury. Some individuals may have mild symptoms, while others experience severe movement impairments.

Common Motor Symptoms of CP:

  • Spasticity (muscle stiffness)
  • Muscle weakness
  • Postural instability
  • Uncoordinated or jerky movements
  • Gait abnormalities
  • Fine motor skill difficulties

Motor impairments can significantly affect activities of daily living. However, comprehensive rehabilitation programs—including physical therapy, occupational therapy, speech therapy, and assistive devices—can help improve functional independence and quality of life. Treatment plans must be individualized based on each patient's specific needs and clinical presentation.



Comments

Popular posts from this blog

Understanding Tubal Ligation Clips: Imaging, Risks, Migration, and Management

The Lethal Lens: Mastering the Diagnosis and Management of Epidural Hemorrhage (EDH)

Teres Minor Atrophy: Causes, Imaging, and Clinical Implications